안녕하세요옹~~!!!!
벌써 다섯번째 월치료 다녀온 민교이 랍니당~~!
이제 .............한살이 또 먹고..ㅠ.ㅠ............연말이네요^^
요즘 감기가 유행이라서....저도 감기를 심하게 걸려서 회사도 이틀이나 못나갔거든요ㅠ.ㅠ
정말 목감기 조심하셔야 할 것 같아요 회사에서도 지금 감기유행이라서..모두 기침소리로 장난아니랍니당..ㅠ.ㅠ.
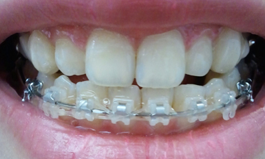
저는 12월 21날 다섯번째 월치료를 다녀왔어요!!
그디어!!하악에 고무줄로 벌어지지않게 하고 당기기 시작한거 같아요!!!
사진올려요^*^ 고무줄 사진이 잘나오지 않네요!!
상악은 저번에 치킨먹어서 교정기가 떨어져서..다시 부치고 왔답니당...삼일뒤에 갔는데
벌써 치아가 이동해서 간호사언니께서 부치기 힘들어하셧다능..ㅠ.ㅠ
점점 발치한 부분이 좁아지고 있어서 가짜이로 부쳐준거를 맨날맨날 갈은다능...ㅋㅋㅋㅋㅋ
치과가서 정면측면 사진도 찍고왔어요!! 아픈날 가서..ㅠ..상태가 영ㅇㅏ니였지만!변화가
많이 된거 같아 촬영을 한거같아요^.^
의사선생님께서도 교정이 아주 잘되고 있다고해서 정말 기분이 좋았습니당~~!헤헤
요즘 연말이라서....어제 송년회를 회사에서 가져써용 맛있는거 많이 먹어서 배가 터질뻔했숩니당
입꼬리가 점점 자연스러워지고 입이 잘 안다물어졌는데
이제는 꽉 다물어진다눙~~!!!너무좋아염!!
정말 만족해여..ㅋㅋㅋㅋㅋ센트럴치과 간호사언니분들도 너무상냥하고
몸은 아팠지만 항상 다녀오면 맘도 편하고 좋아요^^
하악 고무줄로 당기기시작해서 점점...발치공간도 채워지고 들어갈 것 같아요!!
변한모습 많이 기대해주세욤^*^
감기조심하시고..!!2010년 모두 마무리 잘하시공~~!!!담은년도에는 모두 좋은일만 가득하기를 빌게용^*^♥


우왕..앞니만 쫌 돌출이시네여.. 부럽..
앞니말구 약간 입이 나왔엇어용!!
저는..앞니가 약간 앞으로 나와서..면도 못끈었다는!!!!!!!
이제 끈기는데 !ㅋㅋㅋ완전신기해용 헤헤헤 ㅋㅋㅋ
우와~ 부러워요^^ 전 아직도 입이 안 다물어져요 ㅠㅠ
저도 아주 미세하게 이가 보이긴 하지만!!!
이제 점차 시간이 지나면 입이 금방 닫아지실거에용^*^
저도 처음에는 효과가 없어보였지만..갑자기 확 효과가 나타나기 시작한거같아요!!
우리화이팅해용!!♥
일반 설측 콤비인가요..~?
설측하면 밥먹는거 힘들고 양치도 힘들다던데 어떠세요..?
하도 힘들다는 소리가 많아서 비싸도 인크고니토 할까하는데...가격이 두배라는 ㅠ
넹 일반설측 콤비교정이에요!위에는안 밑에는 겉으로!ㅋㅋㅋ
밥먹는거 힘들지 않아요..단지 발음이 좀 셀뿐이에용..ㅠ.ㅠ
저는 할만한거 같은데요^^*콤비도 좋아요^*^
아 그리고 똑딱이 콤비라니 무슨 말인가요..?
똑딱이 교정이 새로 나온 교정중 하난데요^^
일반 세라믹 교정보다 기간도 단축되고 요즘 많이 하는 교정이에용!!ㅋㅋ
치아마다 네모난 브라켓을 붙여서 각 각 철사를 맞추는 것이 아니라 길다란 철사 하나를 브리켓 위에 올리고 브라켓 뚜껑을 닫는 거라서 좀 더 튼튼하고 강하게 조여주고
기간은 일반 브라켓보다 3개월이 줄어들구요. 철사 빠질 일이 거의 없다고 보시면되요^^
의사 선생님께선 이게 자신도 관리하기 편하다 하시구요 !!!
콤비는 보시다 시피 위에는 안으로 하였구 밑에는 겉으로 장치를 달았단거에요^*^
더궁금하신점 있으면 쪽지보내주세용^*^
제 눈엔 교정기 장착한 하악 치아들이 정말 가지런해보이네요. 왕부럽~*
저는 완전 삐뚤삐뚤~~~~하답니다.ㅋㅋㅋ
사진상으로 보면 치아가 너무 예뻐서 곧 교정기 제거해도 될 분위기같아영~~~ㅎㅎㅎ
사진이 좀나온거같은데염^^?
그렇게 봐주셨다니..완전 감사한데용.ㅠ..ㅠ
저도 완전 가지런한이가..하루빨리 됫으면 하는 작은소망이...헤헤헤헤
ㅋㅋㅋㅋ깐또님 우리 열심히 양치하고 곧좋은변화가 나타날거에요!!ㅋㅋ
언니는 감기걸려서 3일 누웠었음.
링거 맞고... 3일 기절했던 기억... 아오 치떨려...
한살한살 더 먹을때마다 체력만 저질이 되는듯...ㅠ.ㅜ
우짜든동 계속 좋아지고 있다고 하고,
민교이도 만족하면서 즐교하는것 같아서 이언니가 이제 다리 좀 뻗고 잘 수 있겠구나~ ㅋㅋㅋ
오늘 2010년 마지막 날이니까 마무리 잘하시고~~~
새해되서 정모하면 그때 만나서 밤을 찢어보자꾸나!
푸하하~~~ ^^*
이쁜것들은 뭘해도 이뻐... 부러우면 지는거다... 부러우면 지는거다...
나의 행운이 항상 당신과 함께하길...
똑같은 똑딱이 교정인데...왜이렇게 다른가요...????????????????
라고 저에게 묻고잇어요ㅋㅋㅋㅋㅋ
언제봐도 너무 이뻐요ㅋㅋㅋㅋㅋㅋ
치아도 너무나 가지런하구요ㅜㅜ느무부러워요ㅜㅜ
저도 얼-른 가지런해졌음 좋겟어요ㅜㅜ흐앙!
안뇽하세요 콩콩알님!!저랑 같은 똑딱이교정인가요^^?
오왕반가와용 ㅋㅋㅋ>.<제가 많이 삐뚤삐뚤이 아니라서..점점 얼굴이 괜찬아지는거같아염
교정하면 많이들 이뻐진다고 하더라구요!!
콩콩알님둥 더한미모로 발전하실거에용!!우리 미소가 이쁜 여자가 되자구요^^*
우왕!!!! 진짜로 이번사진이 저번에 비해 훨씬 입이 들어간거같이 보여요!
저도 쪼끔 입이 들어가야 하는데...ㅠㅠㅎ
그리고 저는 교정하고나니 치아가 더 노래지는거같은데,, 민교이님의 하얀치아가 부럽부럽!ㅎㅎ
사진이 잘나온것뿐..이가 하얗지안아용 ㅠ.ㅠ힝훙.ㅠ.ㅠ.ㅠ
입들어간거같나요?헤헤너무기쁘네요^^
오리님두 빨리빨리 들어가길 빌게용!우리 화이팅합시당
오리님 오랜만인거같아 정말 반가운데요^^이사모에서 자주뵈용^*^