민교이의 킬본콤비교정일기 17번째 월치료
안녕하세요 ^*^
이제 거의 마무리 단계에 온 거 같아요^^
저도 처음부터 교정일기를 하나씩 보면 얼굴도 달라졌고 인상이 너무 달라져서..낯설어요 제얼굴이ㅠ.ㅠ
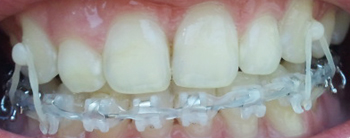
이제 17번째 월치료를 다녀왔는데요~~~사진만 봐도 이제 자리가 잡혔습니다 헤헤
이번 월치료에서는 어금니에 바이트 볼록을 모두 제거하고 왔어요^^
하악에 동그라미 친부분에 블랙트라이앵글이 생겨서 그부분을 교정하기 위해서 다른 교정기를
붙히고 상악 하악 모두 철사를 두꺼운거로 교체했어요^^
상악부분을 좀 더 배열과 내리기 위해서 고무줄을 하고 있어요!
치과 갔다온 다음 날에는 씹는게 너무 힘들어요.
이틀 뒤면 적응 되겠지만^^ 오히려 바이트 볼록을 떼어내니까 뭔가 더 낯설었어요~~~
이제 얼마 남지 않은거 같아서 기분은 좋은데 시원섭섭하네요^^
이주 뒤에 월치료 하러 가는데 조만간 다시 글 올릴게요^^
날씨 추워졌는데 감기조심하세요^^




와우 민교이님 저랑 거의비슷한날짜에했는데
비슷한상황!!!!!
입이 쏙들어가셨어용~
앞니도 저정도면 예쁜거고..돌출입완전 탈출한것 같네요~ 부럽삼
중심도 맞고 치아도 가지런하시네요.
같은 기간 대비 효과가 정말 빠르게 나타나는 게 진심 부럽네요.
난 아직아직 멀었는데...
발치 공간이 너무 안닫히는데
킬본 교정이라는 게 정말 효과가 좋은 모양입니다.
난 교정기 떼면 훨훨 날아다닐텐데... 전혀 섭섭하지는 않을 것 같아요.
어서 그날이 왔으면 좋겠네요.