[치아교정/후기] 촉촉뇽의 오라픽스 설측 치아교정후기4 – 치아교정 장치부착! 스크류 심기!
오라픽스 치아교정을 시작하면서 벌써 서울을 네 번이나 올라갔네요~
치아교정후기도 벌써 네번째 입니다~!
시간이 참 빠르네요잉 ㅋㅋㅋ
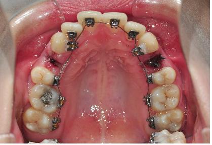
이번 치과방문은 상악에 치아교정 장치를 부착하러 갔습니다.
역시나 상악 치아교정 장치 부착 전에도
제가 일하는 곳 근처 치과에서 발치를 했어요~
상악에 좌우 4번 치아를 각각 발치를 했는데요.
발치하러 네 번을 갔더니 치아교정 발치.. 이제 하나도 안 무섭습니다 ㅎㅎ
마지막 발치를 한, 좌 4번 치아 발치 후에 제가 지혈을 잘 못해서 그런지
피가 약간씩 덩어리져서 나오길래 조금 놀랫지만
저녁에 솜 꾸욱 물고 잤더니 괜찮더라구요 ㅎㅎ
이제 상악에 치아교정 장치! 브라켓을 부착하러 치과로 고고씽!
치아교정 장치를 부착하러 가는 날 마다 비가 오더라구요 ㅋㅋㅋ
날씨 왜 그런건가요 …ㅋㅋㅋ

상악에 치아교정 장치 부착도 하악과 마찬가지로
일단 치석을 제거하고 깨끗하고 건조하게 치아를 만들어주었어요~
그리고 나서 접착제로 브라켓과 고무를 치아에 끼워넣어 부착하고
고무를 제거하면 치아교정 장치 부착 끝~!!
치아교정 장치가 탈락하게 되면 치료기간도 길어지고 그렇게 되기 때문에
치아교정 장치, 브라켓을 부착하는 과정이 중요한 거 같아요 ~
그래서 시간소요도 많이 되구용 !
치아교정 장치를 부착한 다음, 철사를 연결합니다~
어떤 부분은 투명한 관에 철사를 넣어 연결해 주시는데요~
전 요거 맘에 들어요 ㅋㅋㅋ 먼가 철사로부터 제 입이 보호되는 것 같아요
안전 장치 같은 느낌 ㅎㅎ
미니똑딱이브라켓이라 브라켓을 핀셋으로 여시고 철사를 넣으시고 닫으시는 것 같았어요 ^^*
보이진 않지만 소리, 느낌으로 알겠더라구요 ~~
이로써 치아교정 장치 부착은 상악, 하악 다 이루어졌어요 ^.^
휴~ 이제 정말로 정말로 치아교정 시작이네요 ㅎㅎ
그리고 나서 하악 송곳니에 동그란 가짜치아(?) 를 만들어 주셧어요
이것과 스크류를 고무줄로 연결해서 송곳니를 당긴답니다!~
가짜치아 요 장치는 신기해요 ㅎㅎ 치아에 찰싹 붙어있는게
고무줄로 연결한 상태인데 떨어지지 않구
도대체 어떻게 붙이신 건지 저도 궁금하네요 ㅎㅎ
그리고 대망의 두근거리던 스크류 심기…!
처음 들어보고 처음 접해보는 장치라 많이 긴장했어요
걱정도 되었구요 ㅠ.ㅠ
일단 스크류 심기 전에 마취를 하는데요
저는 하악에 좌우 1번 2번 치아 사이에 스크류를 심었어요.
양쪽다 심어야 했기 때문에 마취는 두군데 다 이루어졌습니다.
마취야 발치 때도 했던거라 조금 따끔거리긴 해두 괜찮았어요 ㅎㅎ
마취 후 아랫입술의 마비가 서서히 오더라구요 ㅎㅎ 느낌이 웃겼습니다. ㅎㅎ
입술 보톡스 맞은 느낌 ㅎㅎ (보톡스 맞아본 여자 아니예요 ㅋㅋㅋㅋ)
제 입술이 부풀어오를 때로 부푸면서 마비가 되는 듯한 느낌 입니다. ㅎㅎ
스크류~ 제가 찾아보고 알아본 정도로는 나사를 잇몸에 심고
어금니가 앞으로 당겨나오지 않도록 하여 지지대 역할을 하는 치아교정 장치였어요~
그냥 잇몸에 나사를 심는다….는 거 자체만으로 긴장백배 ㅠ.ㅠ
제가 엄살도 좀 있고 ㅎㅎ 겁도 많아서 엄청 긴장했거든요 ~
나사와 사용할 치아교정 도구들을 눈으로 보니 더욱 긴장긴장 ;;;;;;
자 이제 스크류 심기 시작! ….
선생님께서 드라이버 같은 도구로 나사를 잇몸에 돌려 넣으시더니 끝 ! ㅋㅋㅋㅋㅋ
저는 아플거 같고, 오래 걸리는 먼가 수술(?) 같은 건 줄 알았는데
선생님께서 드라이버 같은 걸로 돌리시더니 끝나더라구요 ㅎㅎ
중간에 한 순간 아프긴 했지만 그 정도 아픔이야 이제 아무렇지 않아
흠흠 (치과치료 받으면서 아픔에 대한 내성이 생기는 듯 ㅎㅎ )
그렇게 해서 긴장백배 치아교정 장치! 스크류 심기도 끝이 났습니다!
치아교정 장치 부착 당일은 당김으로 인해 치아들이 아팠습니다.
어금니로 씹으면 상악에 어금니가 아프더라구요~
그래서 곡물음료랑 고구마 으깬 것을 먹었어요 아프다고 안먹을 순 없어요! 그죠? ㅎㅎ
잘 먹어야 좋은 거죠 히히히 ㅋㅋㅋ
지금은 상악 치아교정 장치 부착 이틀 째인데 통증이 없어요ㅎㅎ
왜 저는…. 심한 통증이 없을까요?
그냥 첫날 조금 욱신거리는 정도고 통증이 없어요 ㅎㅎ 조아요 ! ㅎㅎ
통증이 없으면 치아의 움직임이 잘 되지 않는건 아닐지 ㅠ.ㅠ
다만 하악 1번치아에 부착된 브라켓으로 혀가 자꾸 쓸리네용 ㅠ.ㅠ
요 부분 때문에 먹을 때랑 말할 때 조금 아프네요.
요것만 아니면 마음껏 씹어 먹겠는데 말이죠 ㅠ.ㅠ ㅎㅎ
왁스와 연고로 견뎌내야 겠어요! ㅋㅋㅋㅋ 그 길 밖엔 없으니 ㅋㅋㅋ
그럼 이상 촉촉뇽의 네 번째 치아교정후기 마쳐용 ^.^ ㅎㅎ
이제 다음 치아교정후기부턴 월 치료 시작합니다~~
다음 치과 다녀와서 치아교정후기 남길께영!!
그 때까지 기다려주세용가리용가리~!!! ㅋㅋㅋㅋ

브라켓 붙이고 바로 당기기 하시네요 ㅇㅂㅇ 신기해라... 킬본하고 같은 방식인건지.. 저도 당기기 하고 싶어요 ㅠㅠ근데 밑에 이들은 아직도 펴질 생각을 않고 ㅠㅠㅠㅠ
일어나고 나서예요 ㅋㅋㅋㅋㅋㅋㅋㅋㅋㅋ잠을 좀 일찍 잔답니다
.. 주무시기 전 시간인 거에요.... 일어나신 후 시간인 거에요...? ;ㅁ;;
(지나가던 행인 1)
제가 잇몸이 많이 내려앉은 상태라 더 빨리 진행하시는 것도 있는거 같아요 ~ ㅎㅎ 당기기의 효과가 나타나고 있어 신기해하고 있는 중입니다 *.* ㅎ
촉촉뇽님도 복 받은 교정인이시군요! ' ' ) !!
그래도 전... 처음엔 보름전도 엄청 고생했던 거 같은데.. ㅠㅠ;;
저도 초반엔 어금니쪽 와이어에 고무관 같은거 넣어주셨었는데,
언젠가 와이어 갈아주시면서 그거 넣어주냐고 물어보시더라구요-
그래서 그건 왜 넣는거냐고 물어보니..
혓바닥이나 볼살 쓸림을 방지하기 위한 거라고 해서 바로 빼달라 했었어요 'ㅅ' ;;
(교정장치를 위해 쓰이는 도구인줄 알았었어요 ㅋㅋ)
교정한 지 서 너달 지나고 음식도 이것저것 먹게되면서부턴
그 고무관 색이 너무 잘 변해버리더라구요., -_ㅠ ;;
아.. 교정일기 보다보면 똑딱이 교정 하시는 분들 엄청 부러워요 -
교정셋팅(?) 끝내신 거 축하드려요~!! 화이팅화이팅! ^^
저도 점점 고무관에 이물질이 끼기 시작했어요 ㅠ ㅋㅋㅋㅋ 이건 양치질로 제거가 어렵네요 ~ ㅠㅠ
우와 엄청빠르네요 저보다 빨리끝나는거아니에요?ㅋㅋㅋㅋ(질투질투>_<)
저는 브라켓 붙이고 와이어만 갈은 상태에요
촉촉뇽님은 진짜빠르게진행되시는거 같아요~
기간이 얼마나 걸린다구 하셨어요?
제 치아가 많이 엉클어져있어서 빨리해두 빨리 끝나지 않을 것 같은 느낌이 ㅠㅠ ㅋㅋㅋㅋ
선생님께서 2년으로 말씀해주셨는데 교정만님은 어느정도 걸리시나요???
와우! 큰일 치루고 오셨네요!!!!! 저도...언젠간 스크류를...꺅!!!!!!!!!!!!!!!
스크류 무섭지않아요~~ ㅎㅎ 정말 후딱 일이 치뤄진답니다ㅋㅋㅋ 걱정마세용 ^^*