[오라픽스 치아교정 8 ] 3주만에 치과 갔다왔네요~
여러분~ 잘 지내시나요? 요즘 폭염이 가셔서 한결 살만한거 같아요ㅋㅋㅋ
저는 폭염일 때 내일로 여행을 갔다 왔답니다~
(더워 죽는지 알앗어여ㅋㅋㅋㅋㅋㅋㅋㅋㅋ코스가 다 걷는거엿어여)
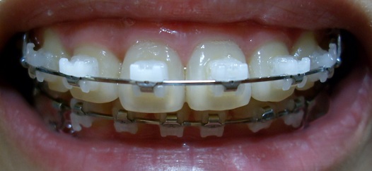
사실 다리를 걸구 정신업이 아파서 고무줄이 잇몸을 누르고 있는지 몰랐어요.
근데 밥을 먹을 때 음식물이 그 사이로 끼고 양치할 때
고무줄 사이에 잇몸이 있으니 양치두 잘 안되구 잇몸이 쓸려서 아팟어요ㅠㅠ
저기 고무줄 때문에 잇몸이 살짝 내려간거 보이시나요?
참다가 염증이 생기더라규요
(저처럼 바쁘지도 않으면서 치과가기 시러서 바보처럼 아픈거 참지 마세용....)
그래서 3주쯤 되었을 때 치과에 전화를 했습니다~
저의 상황을 말씀드리니 진짜 불편하시겠다면서 치과에 예약을 잡아주셨습니다.
이렇게 친절히1!!!!! 그동안 왜 치과 안갔는가!!!!!
치과를 가서 잇몸을 누르던 고무줄을 빼주시구 새로운 게 하나 더 생겼어요.
저기 동그라미 친 부분 보이시나여! 새로운 막대기가 하나 생겼어요
고무줄이 잇몸을 누르지 않게 도와준답니다 ♥ 흐억 너무 조아요
그리고 치과쌤이 온김에 치아를 훅~~~훝어보시고
치아가 이동을 아주 잘한다며!!!
고주줄을 새걸로 바꿔주시구
4주후에 뵙기로 햇숨니다
흐흫흐흐흫흐흐흐흫
아주 쿨하셔서 조아요ㅎㅎㅎㅎ
상악사진볼까용?!?!? ^.^
뒤에 사랑니 조콤초콤 나는거 너므 귀엽다능ㅋㅋㅋㅋㅋ
하악사진
고무줄을 다른 걸루 바꿨는데 처음 고무줄로 당기는 것보다 훨!!!씬 안아프네요
빕스도 갔다와써여>_<
벌써 저는 고무줄에 적응됬나봐여ㅎㅎㅎㅎㅎㅎㅎㅎ
아이편해 아이조앙
치료 받을 때 얼굴에 초록천 덮어주잔아요~
와이어를 뺄때 혹은 낄때 혹은 고무줄을 낄때!!!!
초록천 안에서 오만상 찌푸리는 거 공감합니까안합니까ㅋㅋㅋㅋㅋ
초록천이 있어 감사해용ㅋㅋㅋㅋ
내일로 여행 갔다와써용!
내일로는 기차를 일주일동안 무제한으로 타는 티켓을 말합니당ㅎㅎㅎㅎ
요기는 전주~~~~ 모자도 없이 더워 죽는줄....ㅎㅎㅎㅎㅎㅎㅎㅎ
아구 토실토실ㅋㅋㅋㅋㅋㅋㅋ
여기는 보성 녹차마을이에용
이때 진짜 정상올라가는디 폭염때매 포기해써여...담엔 꼭 모자를!!!!ㅎㅎㅎㅎ
요기는 부산이에요~
부산에는 바다가 많지만 사람이 너무 많잔아요ㅠㅠ
송정해수욕장은 사람이 그렇게 많지 않았어요~ 놀기두 적당하구ㅋㅋㅋㅋ
팔이랑 다리가 타버려서 친구가 태닝했냐고 묻네요.......안햇어임마
7080를 완벽 소화한 저는 .
이상 교정일기를 마치도록 하겠습니다 .
여러분!!이제 비가 많이와요~
감기조심하세요 >_____<

우와. 세라믹교정보다 뭔가 더 깔끔한 느낌이에요!
똑딱이교정 중이신걸로 알아용 ^_~
(부러우면 지는거 지는거 ㅠㅠ)
감사합니당ㅎㅎㅎㅎㅎ 장치가 치아색이랑 비슷하게 희어서 더 깔끔해 보이는거 같아요~
와... 저 요번에 치위생사님이 천 안 덮어주시고 이 뿌러트리시려고(?) 해서 죽는 줄 알았어요ㅋㅋㅋㅋ 앞니 파워체인 거는데 5번이나 끊으셔가지고 입가에 경련이 ㅠㅠㅠㅠㅠㅠㅠ 아픈데다 오래 입 벌리고 있었더니 입가에 막 경련도 일으켰는데 치위생사님이 남자분이셔서 덜 부끄러웠던게 다행인지 불행인지 ㄱ=
헐 이 뿌러뜨리려구 하는 거같은거 완전 동감이요ㅠㅠㅠㅠ완전진짜뽑힐거같져ㅠㅠ
진짜언젠가뽑히면 어쩌나.....그런생각두 들구ㅎㅎㅎㅎ
악ㅋㅋㅋㅋㅋ7080에빵터졌어요ㅋㅋ짱이심!!! 아프실텐뎅화잇팅힘내세요!!
치아발치하구 고무줄로 당기는게 생각보다 엄청아프더라구요ㅋㅋㅋㅋ
근데벌써적응이되어서ㅎㅎㅎㅎㅎㅎ고무줄따위 조심히 잘 먹규이써여ㅎㅎㅎㅎ아몬드도 우걱우걱
교정만님 일기보면 긍정긍정의 힘이 느껴져서 즐거워요~~ ㅋㅋㅋㅋ
잇몸이 눌려서 아플셨을텐데 ㅠ.ㅠ 이제 괜찮으시다니 다행이네용
이쁜 치아를 위해 즐거운 교정하자구용 화이팅~~!
우힣히 감사해용>_<
촉촉뇽님두 교정 홧팅이에요!!!!우리같이 홧팅!!!^_^
미련...하져ㅋㅋㅋㅋㅋㅋㅋㅋㅋ
아푸다하면 고무줄 뗄까바...떼면 교정 더 늦게 끝나는거 아닌가...
이런 바보같은생각을 했어여ㅠㅠ
담부터는 치과에 전문가의 도움을 받겠다는!!! 교훈을 얻었답니당ㅎㅎㅎㅎ
으아 진짜 아팠겠어요!
ㅠㅠ 잇몸이 내려가구 치아가 보여서 깜놀!!햇쪄
근데 금방 아문다구 하니까 다행이에요ㅋㅋㅋㅋㅋㅋㅋ
잇몸이 내려가는지 알구 얼마나 놀랏는지 ㅇㅅㅇ