[치아교정후기] 촉촉뇽의 오라픽스 치아교정후기 11번째 -상악 와이어교체 & 하악 앞니에 보조장치부착
안녕하세요 이사모님들^^*
벌써 11번째 치아교정후기에용~ 요즘 갑자기 추워졌죠 ! 겨울이 오고 있네용 ㅋㅋ
봄에 오라픽스 치아교정 치료를 시작해서 벌써 겨울이 오고 있다니 신기합니다.
그만큼 시간이 빨리 간다는 거겠죠 ㅠ.ㅠ
지금부터
세월이 이렇게 빨리 가면 안되는데 ㅠㅠㅠㅠㅠㅠㅠ ㅋㅋ
걱정입니다 ㅋㅋ
그럼 치아교정후기 시작할께요 ~
치아교정
월치료를 받으러 서울로 고고!
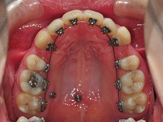
이번 월치료에서는 상악의 와이어교체와 하악 앞니에 보조장치를 부착하였어요.
원래는 아직 브라켓이 부착되었지 않은 하악의 송곳니에 브라켓을 부착할 예정이었는데요,
본딩해주시다가 처음에 본을 떳을 때 보다 치아 이동이 많이 된 상태라서
브라켓이 맞지 않는 상황이 발생하였습니다… ㅠㅠㅋㅋㅋ
그래서 다시 제작해야 하여 부착을 하기로 했어요~
지금 상악에 세 개의 치아에 치아교정장치 브라켓이 부착되어 있지 않은데요~
이것은
다음 치아교정 월치료에 다 부착하기로 했어요^^
그러고 나서 상악와이어 교체가 이루어졌구요
고르지 못하고 튀어나와있는 하악 앞니에 보조장치를 부착하였습니다.
이것으로 이동을 시키겠죠?
참 신기한 것이.. 앞니에 보조장치 부착하고 고무줄로 감아 당겨주셨는데,
이러고 이제 대구가는 기차를 타고 두시간을 잤습니당
내려서 거울을 보니깐 툭 튀어나와있던 앞니 한 개가 쏙 들어가잇는거 잇죠 ㅋㅋㅋ
너무너무
신기했어요 와우 거의 세시간 만에 치아이동이 이루어지다니 @.@


이번 치아교정 월치료는 이것으로 끝났구요,
이주뒤쯤 치과를 방문해서 하악에 치아교정장치 브라켓을 부착할 예정이랍니다.
그럼 다음 월치료 다녀오고 치아교정 후기에서 다시 뵈어요 ^^*


와우저동그랗고작은보조장치는뭔가요??대박 신기해요!
세시간만에 치아이동,,저도그랬으면좋겠어요ㅠ상악의이들이워낙강철이라,ㅋㅋ
히히 촉촉뇽님 남은교정도 홧팅하세요^^*
저도 이름이 궁금해서 치위생사쌤께 물어봤는데, 그게 어려운 전문적인 용어였어요;; ㅋㅋㅋㅋ
저 보조장치에 연결하여 삐뚤어진 치아를 돌리는 거구용~
넹쮸렛님도 다음 교정일기에서 뵈용>< 매일 좋은 하루가 되시길~~
클립버튼인가.. 그렇게 부른다는 거 같아요~
(요즘 열심히 공부중인 나나링고! ㅋㅋ)
어떤분이더라.. 그녀들의 교정일기에 계신 설측교정 하는 분 치아에 붙은게
자꾸 궁금해서 여쭤봤었어용 ㅎㅎ
교정방법, 용어, 이름 정말 다양한 듯.. 전 교정시작할때 아무 정보도 없이 시작해서 그냥 병원에서 하라는 대로 했는데, 이곳에서 좀더 많은 정보 습득후 할걸 후회 많이 했답니다.
저두 처음 교정시작할 때는 교정에 대한 상식이 전혀 없었어요 ㅎㅎ 그런데 교정을 하다보니 제 입속에 있는거라 신경도 많이 쓰이고 많이 알면 알겠다는 생각에 하나하나 알아가다 보면 참 유익한 거 같아요^^*
진짜진짜 신기해요... 미세하게 삐뚤은건 정말.. 농담아니라..
월치료 다음날 되면 바로 괜찮아져요.. +_+
저 요번에는 제대로 사진 찍어놨어요! 월치료랑 다음날 사진요 *ㅅ*
... 하지만.. 제 교정일기는 아직도 6월쯤꺼 올리고 있다는 함저어어어엉 -_- ;;;;;;
함정 ㅋㅋㅋㅋ 빨리 나나링고님 교정일기를 보고 싶네요 ㅎㅎ 재미있어서 기다려진답니다 ><ㅎㅎ
치아이동이진짜빠르신거같아여 볼때마다 감탄~우아....
요즘은 춤춤 ㅠ,ㅠㅋㅋㅋ 정체기인듯해요~ ㅠㅋㅋ
어? 촉촉뇽님 사진은 없긔???
왜 없긔? 왜왜왜??? 최근 사진을 업댓하라~~~~ 업댓하라~~~~
궁금하다!!! 궁금하다~~~ (막이래 ㅋㅋㅋ)