안녕하세요!!! 교정만의 치아교정후기 15편입니다!!
요즘 날씨가 오락가락 추웟다가 더웟다가 난리에요ㅜㅠ
봄비가 오는데 다들 감기걸리지 않게 조심하시길 바래요
비가 그치고 벚꽃이 만발하겟죠?
모두 도시락싸서 피크닉갑시다ㅎㅎㅎ커플만가는거아니니까여!!괜찬아여ㅎㅎㅎㅎ
지난번 치아교정후기에서 말씀드렸듯....
치과를 구의역쪽에서 중랑점으로 옮기게 되어서 처음으로 찾아갔는데
힘들어서 죽는줄ㅎㅎㅎㅎㅎ
차랑 지하철만 세시간탓어요ㅠㅠ차가막혀가지고...
그래서 지도키고 가는데 폰이 꺼진거에요...
그래서 경찰서를 갓는데 순찰중이라 아찌들이없엇어요ㅇㅅㅇ
결국 모르는 사람한테 잠깐 네이버에 예이랑치과좀쳐달라고해서 찾아갓다능...ㅋㅋㅋㅋㅋㅋㅋㅋ
그래두 치과에 도착해서 다행이엇어요 늦게가서 죄송햇어요ㅜㅠ
치과 언니들이 처음봤는데도 모두 친절히 해주셔서 너무 감사했습니다.
근데 너무 찾아가기 힘들어서 다시 구의역으로 옮겼어요ㅠㅠ
발치공간이 정말 눈에띄게 줄어들어서!
오른쪽은 거의 다 닫혔구 왼쪽만 닫히면 오라픽스 교정기를 빼는건가?!!?라는 꿈에 부풀어 잇어요ㅎㅎㅎ
이번에도 발치 공간을 줄이기 위해 고무줄을 바꿔끼고 돌아왔습니다.
아래 앞니에 걸려있는 파워체인때문에 양치가 좀 부실해서
치과 언니가 주의해서 하라고 하시더라구요ㅠㅠ
치실을 열심히 이용해야 겠어요
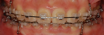
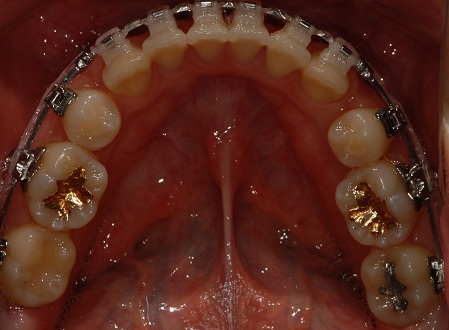
치아 사진 보여 드릴게요!!
상악 사진
하악사진
정면 사진
옆면 사진
이번 오라픽스 치아교정후기에는 고무줄교체 얘기밖에 없네요ㅋㅋㅋ
아 저 머리바꿧어요!!
긴머리에서 짧은 머리로~~~
어울리나요?ㅎ_ㅎ
빨리 발치공간이 다히길 바라며! 다음 치아교정후기에서 또 만나요!ㅎㅎㅎ

저는 페북에서 봤지요 봤지요 봤지요~ 교정만님 머리 자른거 완전 잘 어울려요 +_+ ㅋㅋㅋㅋㅋ 어케 지나가는 사람을 붙잡고 물어볼 생각을 하셨대요 ㅋㅋㅋ 'ㅅ' b 다들... 발치공간이 닫혀가시는군요... ㅠㅠ 장치탈락 횟수가 기억도 안나는 링고짱은 그저 웃지요....ㅠㅠㅠㅠㅠㅠㅠㅠ
항상 교정일기 재밌게 보고 있어요~ ㅋㅋ 저도 사돈 남말할 처지 아니지만 얼굴 많이 달라지신 느낌!! 훨 도도해보여욤^^* 저도 요즘 가끔 새침해졌다는 소리 듣는답니다 (읭?ㅋㅋㅋㅋㅋ)