[킬본 돌출입 교정 26.] ②④/②⑤번째 오라픽스장치 붙이기
이사모 가족 여러분 안녕하세요옹~ ^ㅅ^
킬본장치 > 세라믹장치 > 새로운 교정장치를 붙이고 온 레드썬입니다~
25번째 일기에서 좀 더 완벽한 교정 마무리를 위해~
세라믹장치 제거한 후에 새로운 장치 붙이기로 했다고 글 남겼었는데요~
그 새로운 장치는 바로...! 오라픽스 3D 개인맞춤 치아교정장치 입니다~! + ㅁ+)//
이사모에도 오라픽스교정을 하고 있는 회원님들이 계신데요~
오라픽스교정에 대해 잘 모르시는 분들을 위해 잠시 설명드리자면... ' ㅅ')//
오라픽스교정치료와 일반교정치료의 가장 큰 차이는
교정장치를 환자 각 개인의 치아에 맞춰서 치료한다는 것이예요~
기존의 교정치료법에서는 평균인에 맞춰진 평균적인 교정장치를 이용하기 때문에
그 치료 결과가 다 완벽할 수는 없었대요... ㅠㅅㅜ
오라픽스교정은 3D 컴퓨터 시스템을 이용해서 교정장치를 환자 개인의 치아에 맞게 만들구요~
컴퓨터 시스템을 통해 최종적인 모습까지 입체적으로 예측해서 적합한 치료를 할 수 있고,
그 결과도 가장 정확하고 효율적으로 이루어 질 수 있다고 합니다~ + ㅁ+
[오라픽스 수석임상자문의이신 우리 원장쌤님의 설명을 참고해서 썼어요. :D ]
오라픽스교정을 국내보다는 유럽에서 더 많이 하고 있다고 해서~
유럽쪽에서 개발된 교정인가 생각했었는데...!?
한국에서 개발된 교정이라는 반전이~ 우왕~ 대단하네요~~ ^ㅇ^
24번째 월치료~
치위생사선생님이 오라픽스장치 정성들여서 예쁘게 잘 붙여 주셨어요~
고생 많으셨어요~ 감사합니다 ㅎㅎ
ㅇ ㅏ~ 세라믹장치 붙일 때와 다른 점은 네모난 블럭(?) 같은 걸 대고 붙이셨는데요~
알고보니 JIG라고 하는 걸 이용해서 치아의 정확한 위치에 오라픽스장치를 딱 맞게 불인다고 해요~
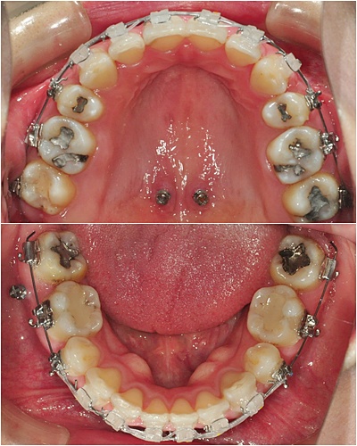
오라픽스장치붙인 사진 보여드릴께요~ ' ㅅ')//
언뜻 이렇게만 보면 세라믹장치랑 비슷해 보이는데요~~
차이점은~ 일단 장치에 붙어 있는 알록달록한 색의 동그라미가 다르고~ ㅇ ㅅㅇ
실제로 자세히 보면 치아와 브라켓이 닿아 있는 면이 좀 더 딱 맞게 붙어 있어요~!
저번 일기에 올렸던 치아사진입니다~
고무줄을 너무 열심히 걸었던 덕분에 아랫니 부분이 앞으로 나왔네요.. ㅡ,.ㅡ
그래서~ 오라픽스 장치를 붙인 후에 아랫니를 다시 넣기 위해~~
예전에 걸었던 방향과 반대로 이렇게 고무줄을 걸었어요~
25번째 월치료
아랫니 브라켓이 하나 떨어져 있었는데요~
치위생사선생님이 말씀해주시기 전까지 전혀 몰랐다는.. ' ㅁ')a 나란여자 둔한여자..!!
나름 조심한다고 앞니 잘 안 쓰는데 왜 떨어졌나 생각해보니~~
병원가기 전날쯤에 생라면을 맛있게 씹어 먹었던 기억이.. ㅎ ㅏ~ 방심하다 떨어졌구나.. ㅋㅋ
그래도 와이어와 파워체인 덕분에 안 떨어지고 용케 매달려 있었네요~ ㅠ
떨어진 장치 다시 붙이고~ 더 두꺼운 와이어로 교체 완료~
고무줄을 반대로 또 열심히 걸었더니 아랫니 부분이 다시 들어갔어요~ ^^ 다행입니다 ㅎㅎ
ㅇ ㅏ.. 이제 아랫니도 들어갔고~ 고무줄 걸기가 끝났나 싶었는데...
요번에는 이렇게 고무줄 걸기~ + ㅁ+)!!
오호~ 처음보는 귀여운 다람쥐 고무줄이네요~
빨간보트 고무줄이랑 사이즈는 거의 비슷하지만~ 그림이 달라서 신선합니다 ㅋㅋ
킬본교정하고 나서는 입이 많이 들어간 후라~
얼굴 사진은 변화없이 계속 비슷한 느낌이네요~ - _ -)b
일관된 표정과 각도때문에 더욱 그런 듯..!? ^^; ㅋㅋ
킬본교정에서 오라픽스교정까지~ 궁금한 점이 있다면 언제든지 물어봐주세요~ ' ㅅ')//
이사모 가족 여러분~ 따뜻한 봄날처럼 행복 가득하세용~ ^^

그런데 요며칠전에 치과갔는데 언니랑 똑같이 생긴분을 봤어요
인터넷글로 보다가 연예인보듯 쳐다봤었는데... 강남점에서 ㅋㅋㅋ
어떤 여자가 계속 쳐다보지않던가요? 그거 전데 ㅋㅋㅋㅋ
저도 돌출입이라 ㅜㅜ 언니처럼 빨리 이뻐지는날이 왔으면 좋겠어요~
요 며칠전이라 하면 저번주 토요일 맞나요~? + ㅁ+)//
감각님도 저랑 같은 치과다니시는군요~~
와 ㅋ 저 보셨다는 댓글보니 더 반갑고 신기하네요~ ^ㅇ^
감각님도 긍정적인 마음 가지시고 교정 치료 잘 받다 보면~
어느 순간 달라진 모습 느끼실 수 있을 거예요~~ > ㅅ<
혹시라도 다음에 병원에서 또 마주치면 아는 척 좀 해주세요~!! ㅎㅎ
저랑 같이 차 한잔 같이 마시면서 교정에 대한 수다 어때요~!? :D
저도 교정 알아보고 있는데 올해는 할 생각으로 교정후기 보고 있어요~~
레드썬님 이제 거의 끝나가는거 뵈니 헤어질 시간이 오는건가여ㅠㅠ??
아아~~ 아쉽네요 전 여태 교정후기 1회부터 쭈욱 봐와서 정(?)도 생겼는데..ㅠㅠ
그래도 자주 자주 방문 해주셨으면 좋겠어요~~~ 레드썬님 교정후기 팬들이 마이 마이 있답니당 저도 어여 레드썬님처럼 가지런한 치아 가지구 싶네여.. 쿄쿄.-.ㅜㅜ