[치아교정후기] 촉촉뇽의오라픽스교정후기 18편- 와이어교체&훅부착
안녕하세요 ^^* 촉촉뇽오라픽스치아교정후기 18편입니다.~
이번 월치료 다녀 온 치아교정후기 작성할께요~
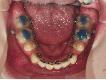
이번 월치료에는 와이어교체와 훅부착하였습니다.
와이어를 약간 더 굵은 걸로 교체하였는데요 ,
와이어가 굵어서 그런지 브라켓이 잘 안 닫겨 선생님들께서 고생하셨는데요ㅠㅠ
닫기기는 하나 와이어의 굵기에 못 이겨 다시 열릴까바 염려하셔서
열릴 꺼 같은 브라켓에는 철사로 묶어주셨어요ㅠㅠ
선생님과 치위생사언니 고생이 너무 많으셨어요 (꾸벅꾸벅!)
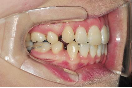
와이어를 연결하면서 하나 더 새로운 장치를 부착했어요~
바로 ‘훅’이라는 장치인데요, 이 장치의 역할은 저의 치아치료에서는
앞니쪽부분을 들어올리는 역할을 하게 될 거라구 하셨어요~
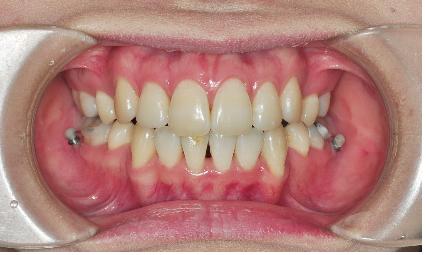
음~ 그러니깐, 제가 활짝 웃을 때 앞니부분치아가 거의 다 보이는데요,
잇몸까지는 보이지 않아요~
저는 이게 좋은 부분이라 생각하였는데 아니더라구요,
오히려 어느 정도 보여야하는 잇몸이 아예 안보인다는 것은 잇몸이 내려앉았다는것!
그래서 ‘훅’을 이용해 앞니를 올리는 치료를 하였습니다.
지금도 잘 부착되어있구요~ 저는 잇몸을 눌러 아프면 어쩌나했는데,
선생님께서 섬세히 치료해주신 덕분인지 있는지도 모를 정도로 아픈건 전혀없네요^^
이렇게해서 이번 오라픽스 치아교정 월치료는 끝이났네요~
이번 달은 혀의 쓸림도없이 너무 잘지내고있어요^^
남부지방은 폭염으로인해 너무너무 덥네요ㅠ.ㅠ
움직일 기력조차 안 생기는날씨예요~
시원한걸 먹어도 힘이나지 않는날씨….ㅠ.ㅠ
다들 더우실땐 더욱 건강조심하시구요!
즐거운 여름휴가다녀오세요~
저는 시~~원한워터파크가 너무가고싶은데 가격이 후덜덜…ㅠ.ㅠ
성수기 끝나고 다녀와야겠어요~
더우니깐 빙수 먹는 일이 하루 일과 같은 ㅋㅋ
요즘은 이쁜 카페집 찾아다니는데,
정말 좋은 곳을 발견하면 뿌듯하네요^^*
그럼 다들 치아교정치료 잘하시구 파이팅~~!
다음 오라픽스 월치료 다녀와서 치아교정후기로 뵐께용^^*

와~ 벌써 18번째 일기네요~ ^^
훅달고 오셨는데 안 아프셨다니 다행이예요~
저도 예전에는 잇몸 안 보이는 게 좋은 건 줄 알았었다는~ ' ㅁ')a
ㅎ ㅑ~ 시원한 빙수~ 예뻐서 더 맛있어 보여요~ ' ㅠ' 츄릅~!
그죠~ 벌써 18번의 치료를 받았네용 ㅋㅋ 시간이 빨리 가긴 가요~
먼가 독특한 빙수를 먹고 나면 뿌듯해요 ㅋㅋㅋ
오~~훅이라는건 첨 보느것 같네요~~근데 ㅠㅠ 저도 앞니만 보이는게 좋은줄알았는데 저는 워낙 잇몸이 많이보여서 문제라 ㅋㅋㅋㅋㅋㅋ잇몸이 보인다는게게잇몸이 가라앉은건줄 알았거든요;; 다시올린다니 그게 더 신기하네요~?그럼 앞이빨이 좀 짧아지는 건가요~~?
맞아요~ 잇몸이 보인다는게 잇몸이 내려앉으거요~ 그래서 치아가 너무 많이 보여서 앞니를 올리시는
건가바요~ 저도 훅이 참 신기했어요ㅋㅋ 생긴게 좀 특이해서 아픈 거 아닌가 했는데 아프지도 않고~^^
저도 처음 알게 된 정보~^^*
아항~ 요새는 교정으로 치열만 맞추는게 아니라 돌출입도 들어가고 잇몸도 들어올리고~
신비한 치아교정의 세계~~~ +ㅁ+
근데 잇몸이 가라앉으면 마니 안좋은거에요??
잇몸이랑 치아랑 가치 내려오게 아는건가요?? 모지모지?? 암튼 신기해요 ㅎㅎ
잇몸이 내려앉으면 치아도 많이 보이고 잇몸이 약해진다는 뜻인 듯 해요~
그러니깐 잇몸이 내려앉는다는데 잇몸이 없어진다는 것? ㅋㅋ
그래서 치아가 많이 보여서 치아를 올리시는 듯 해요~