[킬본 돌출입 교정 28.] ②⑧번째 오라픽스 월치료 / 과거비교
이사모 가족 여러분 안뇽하세요~ 레드썬입니다~ ^ ㅁ')//
변함없이 한결같은 셀카 사진을 들이 밀며~ 28번째 교정일기 시작할께요~ > ㅅ<
( 이렇게 자꾸 보다가 정들었으면 하는 바람..!? 읭 ~ ' ㅅ' * ㅋㅋ )
계속되는 무더위에 덥고 지쳐 있는 분들 많으시죠~!? ; ㅅ;)>
저도 요즘 열대야 때문에 잠도 푹 못자고~ 지쳐 가고 있었는데.. = ㅅ=
그래도 이번주는 더위가 살짝 풀린 거 같아서 다행이예요~
더위는 얼른 지나가고 시원한 가을이 왔으면 좋겠어요 ㅋㅋ
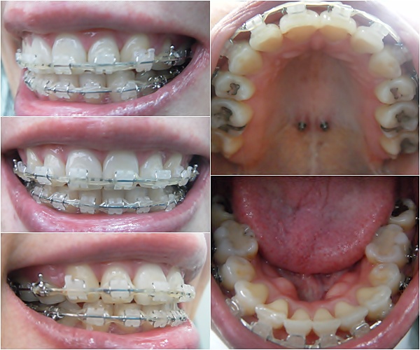
28번째 월치료도 상악, 하악 더 두꺼운 와이어로 교체하고~
파워체인 새로 연결해주는 걸로 진료 끝~
오랜만에 뵈어서 더 반가운 귀요미 치위생사 선생님께서 ' ㅅ')*
능숙하고 빠른 손동작으로 와이어를 갈아 주셨어요 + ㅂ+)b 좋아요~!
병원에 새로 들여 온 엑스레이 촬영기로 엑스레이도 찍었습니다. ㅇㅅㅇ)v
교정 마무리 단계에 더 가까이 와서 그런지~ 치아 사진은 거의 변화가 없네요~ ㅎㅎ
음~ 교정일기를 계속 쓰다보니...
요 근래 들어서 비슷한 내용의 일기만 반복하는 거 같고.. ㅠ ㅅㅜ
뭔가 변화가 필요한 거 같아서~
열정적이었던 교정 초심으로 돌아 가볼까 하는 생각에~!!
예전 사진들을 정리하면서 쭉 봤는데요~ + _+
다시 봐도 놀랍다는~ ^^; 인상이 정말 많이 달라졌어요~
살짝(?) 충격적이어서 올릴까 말까 고민했던 과거와 현재 비교 사진 공개해볼게요~
3
2
1
뚜둥~!
금방이라도 발사할 거 같았던 잇몸과 치아가 이렇게 달라졌어요~!
위에 사진은 실제 웃을 때 찍었던 거라~ 좀 더 격한감이 있지만 ㅋㅋ
웃을 때 잇몸 보인다는 건 이미 알고는 있었는데... orz 이 정도일 줄이야... OTL
사진보고 충격 받아서 한동안 웃음을 잃었다지요.. ㅠ ㅅㅜ
그치만 지금은 브라켓이 보임에도 불구하고 예전보다 더 환하게 잘 웃어요~ ^ㅁ^
옆 모습 비교 사진도 짜쟌~! 입이 들어 가니까 이미지가 많이 달라 보이죠~? ㅎ ㅔ헷~ :D
정면 사진을 봐도 자연스러워진 입매와 사라진 턱 주름~ 정말 신기합니다~! ㅋㅋ
참고로 교정 전보다 몸무게는 더 늘었는데요ㅠ 이상하게도 볼살은 몸무게와 반비례~ ' ㅁ')a ㅎ ㅓ~
다른 병원에서 제 치아는 일반 교정으로 큰 효과 보기 힘들다며 돌출입 수술을 권유하셨었는데..
>>ㅑ오~ 단언컨데 우리 원장선생님께 교정 받았다는 것은 제게 가장 큰 축복입니다. ㅠ ㅅㅜ
특허받은 돌출입 킬본교정 최고~ 개인 맞춤형 오라픽스교정 최고~ 원장쌤님 만세~! ~(+ㅂ + ~)
예전 사진이랑 비교해서 올리니 살짝 쑥스럽기도 하지만~ ^^;
이렇게 달라질 수도 있다는 걸 솔직하게 보여 드리고 싶어서 용기내서 올렸어요..!! * ' ㅅ')*
그러니까~ 이사모 회원님들~ 우리 같이 희망을 갖고 힘내서 즐거운 교정 끝까지 함께해요~ ㅎㅎ
더울수록 몸 관리 더 잘 하시구~ 보양 음식도 잘 챙겨 드셔서~ 건강하게 여름 보내세요~^ㅇ^ 뿅~

얼굴 라인도 갸름해지고 코가 오똑해 보이는 효과까지~~ ㅋㅋ
정말 기대 이상으로 많이 달라져서 저도 거울보며 놀라요~ :D