안녕하세요 증산댁이에요
오늘은 비가 하루종일 온다죠??
비오는날엔 왠지 막걸리를 반드시 먹어줘야만한다는 사명을 띤 애주가 부부~
원래 일기예보에선 어제 저녁부터 온다해서 어제 비 언제오나~ 기다리며 이미 막걸리를 잡쉈는데
잠드려니까 새벽이 되어서야 부슬부슬 내리고;;
오늘 또 먹어야하는건가 ㅋㅋㅋㅋㅋ
이문제는 저녁때 심각하게 다시한번 고민을 해보기로하고~
치아교정후기로 뿅!!
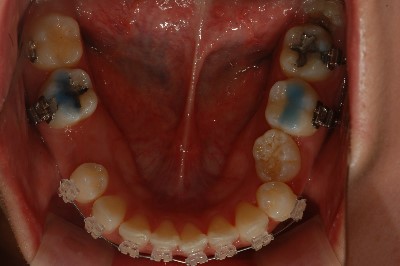
전 콤비교정이라 상악은 설측, 하악은 순측으로 교정이 이루어져요
상악은 지난번에 본을 뜨고왔는데
장치가 제작되기까지 한달정도의 시간이 필요하기 때문에 3주정도는 그냥 맘편히 놀고 ㅋㅋ
상악 브라켓 붙이기 1주전쯤에 하악 브라켓을 붙이기로 햇어요
d-day : 정밀검사
d+1w : 상담후 콤비교정으로 결정
d+4w : 충치치료 완료 후 본뜨기
d+7w : 하악 브라켓 장착
d+8w : 상악 브라켓 장착
저의 스케줄은 이렇게 되요
그런데 중간중간 병원 내부공사로 미뤄지고 충치치료가 마무리안되서 미뤄지고 추석연휴로 미뤄지고
하다보니깐 이보다는 조금더 오래 걸린듯하지만
결론부터 말씀드리면 현재 저는 상하악 모두 브라켓 장착 완료하엿습니다 ㅎㅎ
오늘은 하악 브라켓 장착한 치아교정후기를 들려드릴께요
숙제검사받는 기분으로 조마조마 충치치료 ok받고나서 꼼꼼히 스케일링을 해주셧어요
동네치과에서 보험적용되는걸로 스케일링 받앗을땐 엄청 아프고 힘들엇는데
장비가 더 좋은건가요?? ㅋㅋ 하나도 안아프고 뭔가 속시원하게 뻥뚫린 느낌이엇어요 ㅋㅋ
그러고나면 입안을 건조시키고 접착제를 도포한후 브라켓을 붙이게되요
원장쌤께서 브라켓을 붙여주시는 모습이에요
사실 아직 친하지않아서 ㅋㅋ 잘은 모르지만 굉장히 나긋나긋하시고 친절하신것 같아요
철사와 고무링을 끼우고나니~ 쨔잔~~~
브라켓은 모두 붙엿는데 철사는 앞부분만 끼웟어요
제일 가는 철사라 어차피 어금니까진 힘이 안받기때문에 굳이 처음부터 불편할 필요없이
앞부분의 치열을 살짝 펴는데만 사용될거에요
나름 아랫니는 치열이 괜찮다고 생각햇는데 철사가 울퉁불퉁;;
어금니에 붙인 브라켓이 윗니랑 부딪혀서 바이트블럭도 붙엿어요
막상 장착하고나선 뻐근하다거나 아프다거나 하는거없이 너무 아무렇지도 않아서 방심햇는데
저녁늦게 집에 도착한후 아무생각없이 짜장면을 시켜서 먹으려는순간!!
바이트블럭때문에 전혀 씹히지도않고 기다란 짜장면발이 철사에 마구마구 걸리고
갑자기 비위가 확 상하고 밥맛이 뚝 떨어지더라구요 ㅠㅠ
아.. 이래서 교정하면 살이 쪽쪽 빠지는가보다.. 햇지만!!
역시나 식탐많은 전 교정기로는 별수없나봅니다
다음날이 되니 잘 씹히지도않는 저 바이트블럭 두개만으로도 으깨고으깨서 잘만 먹습니다
치아교정에 기대어 살짝 다이어트 효과를 기대햇는데 이건뭐 좋은건지 나쁜건지 ㅋㅋ
곧 상악 브라켓 부착한 치아교정후기도 들려드릴께요~
좋은하루 보내세요 ^0^

ㅋㅋㅋ 첫번째사진 닭발아닌가요 ㅠㅠㅠ지금 저 배고픈데 느무 맛잇겠다 ㅠㅠ
예전에 교정 안했을때는 후기 봐도 잘 안와닿았는데~ 지금은 다 제가 해왔던거라 완전 와닿는거 같아요 ㅋㅋㅋ 증산댁님도 ..왠지.. 교정기에 너무 잘 적응하실거 같은 ..느낌..
교정하면 살ㅃㅏ진다는것은.... 첨엔 그럴수도있겠다 했는데.. 가면 갈수록 공감이 안되더라구요 ㅋㅋㅋ
닭발 매니아~ 저희동네 요기 닭발 진짜진짜 맛잇답니다~
언제함 놀로오세요~ 제가 닭발 쏠께요 ㅋㅋㅋㅋㅋ
머.. 닭발도 거침없이 씹어먹고 오다리도 질겅질겅 씹어먹는데..
이정도믄 말 다 햇죠 머.. 살빠지긴 글럿어요;;
불닭발인가요...? 겁나 빨개보이네요ㅋㅋ
불닭발 마쟈용~~~ 겁나 맛잇쪄용~~~ >_<
아.. 사진보니깐 또 먹구십네.. 신랑도 회식한다는데..
오늘 또 닭발에 막걸리 달려볼까요 ㅋㅋ
치아가 정말 예쁘게 생기셨어요ㅎㅎㅎㅎ 플라스틱 브라켓을 끼셔서 그런지 치아가 더 돋보이는건 뭐죠^^?ㅎㅎㅎ 맛있는 닭발 먹방도 찍어주셨네요ㅠㅠ..
예쁜가요;; 전 제 치아가 꽤나 못낫다고 생각하고 살앗어서리;;
암튼 칭찬받으니까 기분 엄청 조으네요~~~
사실 정말 못난이되면 어쩌나 걱정 마니햇는데
오히려 브라켓끼니깐 부티나는 치아가 되엇어요 ㅋㅋㅋㅋㅋ
새이랑님 요기요기 붙어라~♬
닭발 얻어먹으러 가요! 쏘주는 내가 쏘겠슴다!!! ^_~
그러고보니.. 이 글을 보고 있는 오늘도 비가 오네요 캬~
저도 교정통증이 심한 편은 아니지만.. 아주 가끔 으악 스러울때마다
평소에도 통증있는 타입은 아니라 정말 다행이다~ 해요 ; _ ;;
이제 시작이시네요 -!! 화이팅화이팅!!!! ^^
증산역으로 오셍~~~ 불닭발에 쏘맥 해용~~~ ㅋㅋㅋㅋㅋ
아~~~ 오늘도 신랑이는 늦게 오는구나~~~ 멀 시켜먹어야 잘먹엇다 소리 들을까용??
지금은 너무 잘 먹지만요 ㅋㅋㅋ 통증도 없엇다니 너무 다행이네요~
첫째날 하루 굶고나니 눈에 뵈는게없는지..
그래도 난 먹고 살아야겟다며 둘째날부터 불고기를 흡입하심 ㅋㅋ
불닭발에 막걸리~ ㅋ ㅑ~ 저도 함께하고 싶네요~ ㅎㅎ
하악 브라켓 부착 추카드려요~ ^^
교정하면 못 먹어서 다이어트 된다는 얘기~
그래도 잠시나마(?) 살 빠지는 거 같아서 좋긴 하죠 ㅋㅋ
앞으로도 교정 화이팅입니다~ ' ㅁ')//
딱 하루 못먹엇어요 ㅋㅋ 전 교정기끼고 점점더 살찌는 기분이 드는건 뭐죠 ㅋㅋ
가위로 조사서 먹으니 소화가 더 잘되는듯 ㅋㅋㅋㅋㅋ