[치아교정후기22] 교정만의 오라픽스 치아교정후기
안녕하세요 여러분~
벌써 한달이 지나서 치아교정후기를 쓴다는게 너무 안믿겨져요
너무 빨랏어요 이번해는...
점점 더 빠르게 느끼겠죠?
치과에 다녀왔습니다.
치아교정후기 22편이에요~
윗 니 발치공간이 다 닫힐 거라고 예상했던 것과 달리
아주 아주 조~금
0.5mm 정도 발치공간이 남았구
아래는 좀 더 많이 남았어요
계속 이렇게 고무줄로 공간을 줄이고
이 공간이 다 줄어들면
와이어를 교체한대요
치아 사진 먼저 보여드릴게요

정면 사진
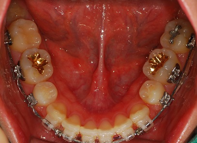
하악 사진
여기도 아주 조금 남은 공간이 보이시나요?
찾기 힘들정도로 조금 남앗어요ㅎㅎㅎ
교정 전 치아 교정 후 치아
이제 보니 확실히 비교가 되네요!
뻐드러 졋던 이가 많이 들어갔어요
처음 교정할 때 와이어가 점점 두꺼워졌다면
마지막 마무리 때는 와이어를 점점 얇은 것으로 교체하는 작업을 합니다.
그러면서 위아래 교합도 맞추고
환자가 원하는 치아 배열로 어느정도 맞추어요
원장 선생님이 어떤 식으로 교정 되면 좋겠다 하는거 말해달라 하셨는데
저는 그냥 입이 너무 들어가서 합죽이처럼 되지만 않으면 될 거 같아요^.^
교정을 너무 이쁘게 해주셔서 감사할 따름입니다 헤헷
이번달에 생일이 있었어요. 먹은건 디기 많은데
사진 용량 상 다 올리지 못하겟네여ㅠㅠ
서가앤 쿡 아시죠?
거기 갓는데
사람들이 거기 양 디기 많다고 다 못먹는다고 해서
단추푸르고 본격적으로 먹엇더니
10분만에 k.o.승
그리구 동네에서 전어회를 싸게 팔길래 먹엇는데
처음 먹었거든요...
이렇게 물고기가 사실적으로 나올지 몰랏어요
제 스타일은 아니엇어요ㅠㅠ
원래 전어회 이렇게 나오나요?
저는 그냥 광어회 이런거나 먹어야겟어요~
날씨 점점 추워집니다
슬슬 옷 정리 하구 따습게 입고 다니세요~
다음 치아교정후기에서 만나요~

엇 교정만님 생일 축하해요~~~~ ^^
교정마치기 전에 더 치료 되었음 하는 거라니...
어우 상상만해도 설레요. ㅋㅋ
저도 언젠가는.... 그런 말을 듣는 날이 오겠죠....? 오긴 오겠죠? T_T_T_T__T_T;;;
전어회ㅜ.ㅜ 비쥬얼 폭발이네요ㅋㅋ
생일 ㅊㅋㅊㅋ ㅇㅇ 서가앤쿡 좋아보이네여 맛나나염?? +_+
우왕 치아도 정말 많이 들어갔네여!!! 교정의느님이란, 역시 캬~^^ 앞으로도 계속 ㄱㄱ
생일 축하드려요~!!^^
다음 치아교정후기에서 또 기대할게요ㅎㅎ