[치아교정후기] 촉촉뇽의오라픽스교정후기 21편- 와이어교체&고무줄교체
촉촉뇽의 21번째 후기입니다^^*
이번 달로 교정시작한지 1년 8개월이네요~
처음에는 아플까 걱정하고 불편할까 걱정했던 마음도 생각이 나고
처음 브라켓부착하고 설레는 맘으로 집으로 왔던 것도 생가이나네요~^^*
양치질도 섬세하게 꼼꼼하게 했던 그 때인뎅 ㅋㅋ
요즘은 양치질이 다시 프리해 질려 하네요 ㅠㅠ ㅋㅋㅋ 다시 맘을 재충전하고
조금만 더 힘을 내어 으쌰!해보려 합니다~
제 친구는 저번 주에 브라켓을 떼고 왔더라구용 어찌나 부러운지 ㅠㅠ
옆에서 너무 이쁘다고 계속 칭찬해주고 부럽다고 한 백번은 말한거 같네요ㅋㅋ
저도 머지 않았겠죠?ㅎ
그럼 21번째 후기 고고고~
이번 월 치료도 간단하게 마치고 왔습니다.
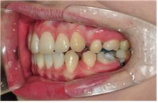
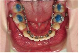
와이어와 고무줄 교체~
별 다른 진행없이 와이어만 교체하는 것은 제 앞니 때문인데요 ~
상악 잇몸들이 교정 시작부터 내려앉아 있는 상태였습니다.
활짝 웃을 때 잇몸이 너무 많이 보이는 것도 좋지 않지만,
잇몸이 아예 안 보이는 것도 좋지 않는 것이죠~
그래서 원장선생님께서 앞니를 들어올리도록 와이어에 장치같은 것을 만들어 주셔서
장착해주신 상태입니다~ 이번 월치료에 선생님께서 확인하시더니 앞니가 많이 올라갓다고
하셨어요~ 조금만 더 올라가도록 하자고 하시고 와이어교체하였습니다~
그래서 이번 월치료에는 하악와이어교체해주시고~ 고무줄들을 새 것들로 교체해주셨어요~
요기까지가 이번 달 월치료입니다~ㅎ
앞니가 올리는 마무리단계라 그런지 선생님께서 이번 에는 4주후가 아닌 6주후
방문하라고 하시구요~
다음 월치료는 뭐가 될지 궁금궁금하네요~ 이제 본격적인 당기기가 시작될까요~
다음 월치료 다녀와서 후기남길께용용
다들 요즘 모하고 지내시나요? 제 주변지인들은 단풍놀이다녀오고 하시던데~^^
저는 단풍놀이 다녀 올 시간도 없네용 ㅠㅠ 요즘은 일이 너무 벅차요
곧 잇으면 빼빼로데이인데, 힘들어서 그냥 넘어갈랫더니 남자친구가 기대를 엄청하고 잇네요;;;
이번 주는 빼빼로만드느라 바쁘겟어요 ㅋㅋ
이사모님들 모두 좋은 시간 보내시공~ 우리 모두 교정 화이팅!

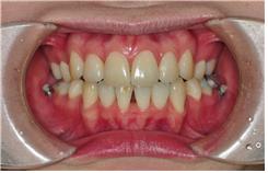
정말 가지런해진 치아 보니 정말 부럽네요ㅠ_ㅠ