안녕하세요~ 증산댁이에요오오~ 월치료 치아교정후기에 앞서....
날씨가 갑자기 추워졌죠??
학교다닐땐 빛나는 의상학도로써 얼어죽더라도 멋은 부려야겟다며 한겨울에도 초미니 입엇는데
나이가 드니..... ![]()
그저 따땃한게 최고여 ㅋㅋㅋㅋㅋ
12월이 되면 고이 모셔놓은 내복을 꺼내야겟어요.....
아웅~ 추운거 느무느무 실타~
그나저나 이번에 갓다가 충격적인 이야기를 듣고왓어요
담당원장쌤께서 병원에 몇달간 입원하셔야한대요 ㅠㅠ
요즘 주위에서 사고가 너무 많이 생겨요
둘째 어린이집 친구엄마가 교통사고로 중환자실에 의식불명 상태로 잇다는 얘기를 들엇거든요
게다가 시댁의 사돈분께서도 사고로 중환자실에 잇다카고
이런 소식을 갑자기 마구마구 접하다보니
무서워서 차마 이유를 못 물어보겟더라구요 ㅠㅠ
무슨일인지는 모르겟지만 쾌차하시길 바랄께요 엉엉 ㅠㅠ
암튼 그래서 당분간은 다른 원장쌤께서 진료를 봐주실꺼에요
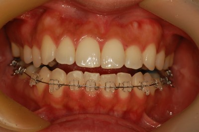
오늘은 드.디.어. 잇몸을 잘라내는날..
으아아아악!! ![]()
지난번에 치아교정후기에서 말씀드렷듯이 상악의 맨끝에 어금니는 치아길이가 짧아서 브라켓을 붙이지못햇어요
그래서 브라켓 크기만큼 잇몸을 잘라내고 붙일꺼래요
마취하면 하나도 아프지않을꺼라며 싱긋 웃으시며 다가오시는데..
덜.. 덜.. 덜.....
무서워죽는줄 알앗어요 ![]()
치이이익~ 치이이익~
어떻게 되는건지 보이지도않고 마취해서 모르겟다만
먼가 타는냄새가 솔솔..
레이저로 지지면서 잘라낸다고 설명 들은것 같아요
근데 그때 이미 겁에 질려서 정신이 혼미한 상태라 잘 기억이 안나요;;
끝난후 거울을 보니
요로코롬 치아교정 장치를 어여쁘게 붙여주셧어요
그동안 앞니만 끼웠던 하악와이어도 한단계 두꺼운넘으로해서 끝까지 넣고
고무줄대신 철사를 감아서 고정시켯어요
높게 쌓아올린 바이트블럭 때문에 이가 다물어지지가 않는군요 ㅋㅋ
여기서 잠깐!!
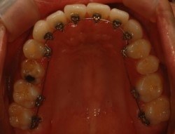
한달동안 얼마나 이뻐졌는지 증산댁언니 사진 비교하고 가실께요~~~ ![]()
치아교정전 정밀검사때 찍은사진이에요
앞니 치아가 덧니때문에 점점 틀어지고잇는 중이엇어요
짜잔~ 마니 이뻐졌죠~
틀어진 앞니도 제자리도 돌아오려 노력중이고 쏙 들어갓던 덧니가 앞으로 나오고 잇어요
왼쪽이 한달전, 오른쪽이 한달후 사진이에요
상악의 꾸불거리던 와이어가 펴지고 치열이 반듯해졌어요
하악 치열상태는 원래 썩 나쁘지않앗던터라 드라마틱한 변화는 없네요
그치만 상악은 참으로 언빌리버블!!
한달만에 이렇게 되다니 정말 신기해요~~~
하루에도 수십번씩 매일매일 거울을 들여다보니까 변화를 못느끼고 잇엇는데
심지어 내 치열이 그렇게 나쁜상태는 아니엇네?? 하며 원래 이랫던줄 착각하고 잇엇더랫죠;;
치아교정후기 쓰려고 사진첩 정리하다가 예전사진 보니 이런 놀라운 변화가~~~
교정의 세계는 참으로 신비롭습니다 ![]()
(추가)
지난주말에 낚시를 다녀왓어요
원래는 신랑이의 형 친구분 결혼식에 갈 예정이엇는데 늦잠을 자버렷어요;;
사실.. 잠많은 우리는 이미 예상하고 잇엇다만
암튼 스케줄이 취소되고나니 너무너무 심심하지모에요
"여보~ 날씨조타~ 우리 오늘 머할까?"
"글쎄~ 낚시나 갈까??"
"콜!!"
30분만에 후다다닥 아가들 준비시키고 짐챙겨서 충남 태안으로 고고싱~
당일치기로 가기엔 참으로 먼곳이지만
정작 낚시한 시간보다 운전한 시간이 더 길엇지만
일단 꽂히면 우리는 주저하지 않습니다 ㅋㅋ
낚시를 하고 돌아오는길에 차가 너무 막혀서 저녁을 먹고 가기로햇어요
어찌어찌하다가 당진으로 빠졌는데 우연히 맛집을 찾아낸거잇죠!! ![]()
해물찜과 간장게장 + 대하장 이에요 ![]()
아~~~ 참으로 아름다운 비주얼이죠~~~
소쥬가 꿀떡꿀떡 넘어가더라구요 ㅋㅋ
그.런.데!!
저 해물찜을 먹다가 그만.. 상악 브라켓이 떨어지고 말앗어요 ㅠㅠ
문제는 신랑이 맛잇다며 챙겨준 키조개 관자
그토록 질길줄은 몰랏습니다
교정인 여러분.. 키조개 관자는 절대 먹지마세요..
대하의 요염한 자태는 다시봐도 매혹적이구나~~~ 또 먹구십당
추운겨울 맛난음식으로 속 든든히 해서 잘 이겨내보아요~

우와 한달사이에 치아 움직이기 벌써 조금씩 가지런해지고 있어요!! ㅎㅎ 신기하네요..ㅠㅠ
주변에 안좋은 일이 날수록 증산댁님도 당분간 뭐든지 조심히 하시는게 좋을거 같아요ㅜㅜ
근데 해물찜, 간장게장 완전 사랑하는데.. 사진만 봐도 침이 꿀꺽...!!ㅋㅋ
원래 간장게장 안조아하는데
산지에서 한번 먹어보고파서 간건데
첨보는 대하장이란거에 꽂혀서 그것만 내리 먹엇네요
대하장 꼭한번 드셔보셔요~ ㅎㅎ
가는길에 마트서 군것질거리 한보따리사고
중간에 휴게소들르믄 무의식적으로 통감자랑 오징어랑 핫바랑 사고
기껏 도착하믄
그래~ 우린 어차피 먹으러온거자나~
이럼서 먹을것부터 셋팅하고 앉앗다는 ㅡㅡ
와 벌써 한달만에 그렇게 점점 가지런하게 놀랍네요 ㅎㅎ 저도 느낀게 교정만 한건지 먹을건 너무 잘 먹어서 탈이에요~ ㅎㅎ
난 너 교정중인거 자꾸 깜빡깜빡해..
회사 여직원들 보니까 교정하면 못먹어서 살이 쪽쪽 빠진다던데.......
너무 잘먹어서 민망할 정도입니다 ㅋㅋ
키조개 관자......저도 환장하는뎁♥.♥ㅋㅋㅋ 조심해서 먹어야겠어요ㅋ
잇몸이 건강해보이셔용 ~ ㅎㅎ 저는 잇몸이 안 좋아서 자를 수 도 없는뎅 ㅋㅋ 부럽군용 ㅠㅠ
금방 치료의 효과를 보실 거 같아요~ㅎㅎ
대하대하대하~~~
교정하고나서 오징어이런건 질겨서 잘 못먹으니깐 새우만 먹게 되더라구용
해물음식점 가면 새우는 다 제꺼ㅋㅋ
앞으로의 교정도 화이팅~!