[치아교정후기24] 교정만의 오라픽스 치아교정후기
안녕하세요 교정만의 치아교정후기입니다! 겨울치고 날이 많이 안추워서 다행입니다^.^ 그랫는데도 몸살걸림ㅋㅋㅋㅋㅋㅋㅋㅋ
벌써 한달이 지나서 치아교정후기를 작성하고 있네요ㅋㅋㅋㅋ 어느덧 발치공간이 다 닫히고 마무리 단계에 들어가 있는데요 이번달에는 치과에서 윗 니 어금니쪽에 어떤 철사를 붙였습니다 아말감인가? 그걸로 붙였는데 약맛이 좀 남더라구요ㅋㅋㅋㅋㅋㅋ
진료받는데 깜빡 잠이들어버렸어요 전날 밤을 새서 진료때 등붙이고 가만히 입벌리고 있으니까 그냥 잠이 든 거 같아요 "예지씨. 입 다무면 안돼요~~ㅠㅠ" 하시는 간호사 언니의 목소리를 몇번 들었는데 저는 다문적이 없는데 입이 계속 다물어졌나봐요 그래서 잠을 안자려고 노력햇는데 잘안돼서 죄송햇어요...
정면사진
하악사진
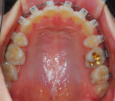
상악사진 저 위에 철사 보이시나요????? 위에 철사 역할은 위 아래 배열이 잘 맞도록 하는 역할이래요 간혹 가다 철사의 휘어진 끝부분이 돌아가서 내려오면 찔릴 수 있으니 다시 손톱으로 밀어주면 되요 2~3일정도 치아가 뻐근할 수 있다고 하네요 지금까지는 좀 뻐근하지만 그렇게 아프진 않아서 다행이에요 헤헤
강남역 지나가는데 팝업 카드를 팔더라구요 근데 디기 이쁘지 않아요? 이렇게 이쁜 팝업 카드는 처음봤어요 커플이 있다면 사줄텐데에ㅔ에에
얼마전에 배가 아파서 배에 전기 찜질기를 켜놓고 잤는데 글쎄.... 손이랑 배랑 화상입은거 있져...ㅠㅠ 고온으로 해놓고 잣더니 물집생기고..... 신기한건 찜질기를 올린건 배에 올렸는데 손이 크게 디었어요ㅋㅋㅋ 배에는 살이 많아서 많이 안디엇나..?
우리나라는 크리스마스때 특별히 먹는게 있나요? 제 기억에는 아이스크림케익을 먹었던..ㅋㅋㅋㅋ 외국은 Egg Nog이라는 걸 먹더라구요 egg nog에 술을 좀 타서 먹는데 달짝지근하고 맛잇어요 바나나빵하고 같이 먹는대요 이번 포스팅 하면서 느꼈어요 아 많이 좀 놀러 댕겨야겠다. 진짜 사진찍은것도 없고 일만한거같아요ㅠㅠ 이번 12월은 우리 회원님들 모두 다 여유가지기!!^.^ 이번 치아교정후기는 여기까지에요ㅋㅋㅋㅋ 다음 월치료는 1월 3일~ 좀 있으면 크리스마스네요 미리 메리크리스마스~~
마지막은 나의 사진으로~ |

초반 후기들도 보고있는데 얼굴선이 부드러워지신거같아요~*•* 와웅
후헤헷 감사합니당^.^
그나저나 화상입은거 우째요
이긍 흉터안남게 관리 잘해주세요 ㅠㅠ