안녕하세요!
소소비의 네 번째 킬본 돌출입 치아교정후기입니다 :D
이번 예약 약속을 무려 1시간이나 늦었답니다. ㅜㅜ
친구랑 이야기하는데 정신이 팔려서 지하철을 잘못 탔어요..
그것도 반대로 가는 것을 타고는‥ 한참을 모르고 웃고 떠들고 있었습니다.
30분도 걸리는 거리를 1시간 30분이나 ‥
바로 늦는다고 연락은 드렸지만 원장님과실장님께 얼마나 죄송하던지 ㅜㅜ
지금 생각해도 제가 싫어요.
|
1. 임시치아부착&크기 자르기 2. 킬본교정장치 고무줄 교체 3. 하악 와이어 교체 4. 충치체크
|
ㅎㅎㅎ 그럼 본격적인 치아교정후기! 한 달만의 치료!
치아 상태를 보고 와이어와 고무줄을 모두 제거했어요~
치아관리 잘했고 ~ 이동속도도 좋다고! 칭찬받으니 괜히 좋았어요. 헤헤헹
‘칭찬은 돌고래도 춤추게 한다.’ 라지요 ~~
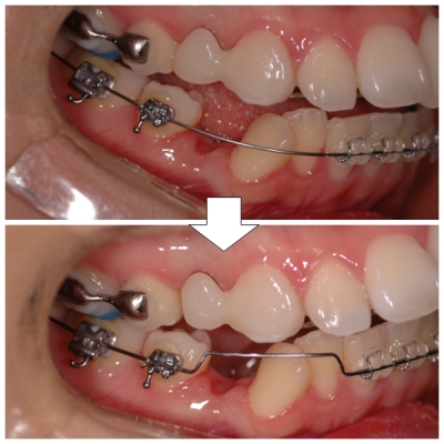
그러고는 저번에 발치하였던 왼쪽 발치공간에도 임시치아를 부착했습니다!
아! 이동할 공간을 위해 임시치아를 조금 갈아주었어요.
*킬본교정장치는 특허장치라 사진공개가 금지되어있답니다ㅜㅜ
다음으로 오늘 치아교정후기의 메인! 와이어 교체!!
두둥!
하악 장치 와이어를 한 단계 더 굵은 놈으로~!
넣자마자 ‘전에 놈보다 강하다(?)’는 것을 느낄 수 있었어요 ;;
교체하는 것은 아픈 거 없었고 단지 쪼이는 느낌이 강할 뿐!
아, 이번 철사는 굵기 말고 달라진 것이 또 하나 있어요.
짠! 모양이 업~그레이드~! 피카츄가 라이츄가 될 때 이 느낌이었을까?;;
‘레벨 업!’한 이 기분 너무 좋아요!! ㅎㅎㅎㅎㅎ
제 치아 이 송곳니가 많이 누워 있어서,
후에 일으키기 위해서 이렇게 생긴 것이 랍니다.
킬본교정 장치 고무줄도 새것으로 교체!
저는 양치할 때마다 이 고무줄이 안 끊기는 것이 신기하더라고요.
빡빡 양치해도 끄떡없는 쫀쫀한 고무줄입니다!
몰랐는데, 스크류와 고무줄 연결한 곳에 철사로 감는 것 같더라고요.
무튼 철사를 입천장에 바로 박은 스크류에 돌려서 그런지 쫌 따끔따끔!했어요~
충치 정검!
지난 한 달간 가끔 양치할 때 치아가 아프다, 괜찮다 를 반복하다가
일주일 전부터 오른쪽 어금니에 충치가 생겼는지
음식을 못 씹을 정도로 악화되었어요.ㅠ
양치질도 정말 잘하고 있는데.. 왜 때문이야 ㅜㅜ
미리 연락드려 충치가 생긴 것 같다고 했더니 오늘 체크를 해주셨는데
두둥! 원장님이 아픈 치아를 요리조리 보시더니, 푹 수셨어요 ‥ 악!!아파라..
그러더니 ‘조금 참아봐라’고 하시더니 그 후크선장 후크 손(?) 처럼 생긴 걸로 긁고 쑤셨어요..
아픔을 이겨낸 후ㅠ 원장님이 보기에는 충치가 아닌 것 같다고 하셨어요.
염증이 생긴 것이라고 !!
관리가 잘 안되었거나,
치아교정 장치 때문에 치아가 무리를 받으면 염증이 생긴답니다.
걱정 말고 가글을 자주 해주라고!
그럼에도 불구하고 의구심을 가지고 또 ㅋㅋ
나: “거기뿐만 아니라 치아속이 아파요”
원장님: “치아 안이 아픈지 어디가 아픈지는 보통 구분을 못해요”
“씹을 때 아프지요?”
나: “어?! 맞아요 !”
원장님: “맞아요. 그럼.”
나: “ 아... ...”
지금보기엔 충치 때문인 아닌 것 같고 다음 달에 다시 체크해보자고 하셨어요~
끈질긴 물음에도 정말 친절하게 알려주십니다.ㅎㅎ
하나를 물어보면 둘까지 답해준다 할까요?
치료 전에 설명해주시고 치료 중간 중간에도 거울로 보면 설명해주시고ㅋㅋ
치료가 끝나고 다음예약 하면서까지ㅋㅋㅋㅋ
거울 들고 나오셔서 설명해주세요zㅋ
이렇게 다 알려주시니까 정말 믿음이 가요 ^^^^~
오늘 킬본교정 월치료 역시 참을만하고 염증 말고는 거의 아픈 건 없었어요.~
그 대신 중요한건‥ 교정은 ‘치과를 다녀와서’가 시작이라..
집에서 혼자와의 싸움이 시작되겠죠.
저번치료 때, 처음 와이어 끼고서는 일주일간 밥은 무슨..
밤에 잠도 못자고 침도 못 삼키고 ‥ 정말 ‥장치 다 뜯고 싶었어요.
진짜 세상의 모든 교정인을 존경합니다.
오늘 밤도 잠 못 이루겠지요???? 으하항 설레라~*
벌써부터 기대됩니다!!! :-) 설리설리
치아교정후기를 뭐라고 끝을 맺을지 모르겠습니다..
여러분 안녕
소소비 킬본 돌출입 치아교정후기 끝.

벌써 월치료를 다녀오시다니 와우! 진짜 빨라요 소소비님^^ 하악까지 장치부착하시고 힘들겠어요ㅜㅜ 전 상악만으로도 바이트블럭때문에 밥먹기가 힘든데 안씹혀서 오물오물 삼켜요ㅋㅋㅋ ㅜㅜ 힘내요! 2년금방갈꺼에요... 가겠죠!?>,<
처음에 많이 힘들엇는데 이제 정말 교정한걸
종종 잊어요;;인간은 정말 적응의 동물인가봐요ㅋㅋ2년후라~ 쏘엘님이랑 비슷하게 진행되다보니~ 얼굴 한번 안보고도 정들것같아요!헤헤
결과가 예뻣으면 좋겟어요!
임시치아 진짜 새이랑님 말대로 배려짱이네요 ㅎㅎ
좋은 치과 만나셧으니 2년후 좋은 결과를 기다리며 힘내보아요 ~~~
정말 질문하지않아도 하나하나 다알려주시고
좋은분들 만나서 너무 기분좋아요! 히히
저도 그럴 때 있어요 저도 교정치과 예약시간보다 1시간 더 늦어서 얼마나 눈치 보이든지....ㅠㅠ 이해해요~ 저도 충분히 공감해서 절로 웃었어요 ^^
위의 분들 말씀 대로 좋은 치과를 만나셨으니 더 열심히 관리 하시고, 월치료 잘 받으시면 소소비님의 예쁜 치아를 가질 수 있을거 같아요~ ㅎㅎㅎ
정말 좋은치과라고 다시 느낀게
눈치 한번 안주시고
잘지내셧나고 많이 고생햇지요?
안부물어주셔서 얼마나 감사하던지!
ㅎㅎ
종종 지하철타면 그런 실수를 하게 되지요 ㅠㅠ 빨리 알면 다행인데 진짜 저멀리 갓는데 알게되면 멘붕이더라구요 ㅠㅠ ㅋㅋㅋ
치과에서 칭찬받고 오면 기분이 좋아요 ㅎㅎ
에구, 일부러 늦으신 거 아니니까 이해해주셨을 거에요~ ^^
가치는 보통 설측장치가 들어갔을 때 하는 것 같더라구요. 밖으로 붙이는 순측교정은 교정장치 때문에 발치공간이 그렇게 많이 티가 나지 않거든요. 근데 설측장치는 장치가 안으로 들어가다보니 겉에서 보면 멀쩡한 치아가 나란히 있다가 공간이 훅 하고 보여버리니까요 ~_~
와이어 단계 올라갈 때.. '전보다 강한 놈이다' ㅋㅋㅋ 맞아요. 그 느낌.. 딱 끼우는 순간부터 팍 하고 와요. 이 녀석은 보통이 아니구나! ㅋㅋ