[치아교정후기26] 교정만의 오라픽스 치아교정후기 - 잘때만 고무줄
캬하하하 여러분 모두 잘 지내시나요? 설날때 맛있는 음식도 많이 만들어 먹고, 오랜만에 가족분들 만나셨나요?? 두둥두둥 다들 먹고 찐만큼....이젠 빼야겟져...ㅠㅠ
동기부여 제대로되져...ㅋㅋㅋㅋㅋ
26번째 치아교정후기네요. 2월 3일 치과에 다녀왔습니다. 이번 1월 동안은 고무줄을 끼고 다니는 것이었는데요. 뒷 치아가 너무 흔들리고 아팠거든요. 이러다 빠지는 거 아닌가 살짝 걱정도 했었는데요.
역시나 치과에 가니 치아가 많이 흔들린다고 하셨어요. 치아가 이동할 때보다 더 흔들린다고 하니 치아에 휴식이 필요하다고 해요.
그래서 이번달은 자는 동안만 고무줄을 거는 것으로 하고, 맨 뒷 치아가 아닌 하나 앞에 잇는 치아에 걸기로 했습니다.
아직은 치아가 많이 흔들려서 딱딱한 음식은 자제하고 있어요. 너무 자극을 주기 보다 자리를 잡을 수 있게 치아에게도 시간을 주는 시간이 필요하답니다.
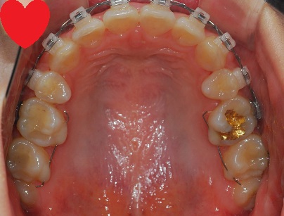
나머지 치아 사진도 보여드릴게요
<정면 사진>
(옆면 사진)
(상악 사진)
<하악 사진> 뒤에 나고 있는 사랑니 보이시나요? 왤케 느리게 자라는지 양치가 잘안되서 썩을 것만 같아요ㅎㅎㅎㅎ 이번 2월은 치아도 쉬고 저도 일좀 쉬고 공부만 하려구요 다음달 부터는 다시 바빠지겠지만 2월달은 힐링 타임을 가지기로 했어요.
치과에서 폴로라이드로 사진을 찍어주셨는데 그 폴로라이드 갖고싶다..... 설정을 잘해논건지 사진이 꽤 잘나오는거 같아여..ㅎㅎ 양이랑 세트~~~~ 근데 저날 머리 안감았나봄ㅋㅋㅋㅋ
제 노트북이 수출 용이라 포맷을 햇더니 언어가 다 영어로 나오네요... 한글팩깔아도 안되니 어쩌면 좋아요...ㅜㅜ 한글 페이지는 죄 다 저렇게 영어로 번역해놈ㅋㅋㅋㅋㅋ 그래서 인터넷 검색은 컴퓨터 말고 핸드폰으로...ㅎㅎㅎ
요즘 날이 다시 추워요ㅜㅠ 봄이 오기전 마지막 발악이겠죠? 주변에 감기 걸린 사람이 많은데 감기 조심하시구 다음 월치료 다녀와서 치아교정후기에서 만나요. |

진짜 처음에 후기 봤을 때와 지금 모습이 너무 너무 달라져보여요~ 현재 치아도 너무 가지런하시고..
치아관리 잘 하셔야겠어요~ ㅠㅠ 조심하시고 다음 교정후기 기대할게요~ ^^ (훨씬 더 예뻐지셨네요 머리 색 너무 잘어울려서 분위기 있으세요~ㅎㅎ)
이가 많이 가지런하시네요ㅎㅎ 저도 얼른 그런날이 오길 바래요ㅜ.ㅜ
요번에 머리염색 하셨군요 ㅎㅎ 진짜 예쁘시게 외모도 발전발전 되고 계시네요~!!
교정만님 엄청 여성스러워지신 것 같아요~ ^^
나날이 예뻐지시는 ㅎ_ㅎ
병원에서 찍어주시는 사진은 역시.. 퀄리티가 다르군요 ;_ ;;
저도 지난번 월치료때 사진 찍었는데, 후기 올리겠다고 쪼르고
받아봐야할까봐요! 희희
갈수록 이뽀지셔요~~~ 이제 얼마 안남으셨죠??
다 끝나면 더더 이뽀지실듯 ><
사진보고 깜짝 놀라서 뒤로가기 누를뻔 했어여ㅋㅋㅋㅋㅋㅋㅋㅋㅋㅋㅋ
정말 나날이 예뻐지시네여!!!!!! 저도 빨리 교정 막바지가 됐으며누ㅜㅜㅜㅜㅜ
치아도 가지런히~ 이뻐지고 교정만님도 나날이 이뻐지시네요^^
소녀에서 숙녀가 되는 느낌이랄까요? 진짜 교정끝나고나면 더 아름다워지실꺼 같아요!