[치아교정후기28] 교정만의 오라픽스 치아교정후기 - 윗 니와 아랫 니의 교합 맞추기!
안녕하세요!!! 교정만입니다.
4월 벚꽃의 계절이네요 지금은 다 졋지만...ㅠㅠ
벚꽃을 영어로 cherry blossom flowers라고 하던데
이름 너무 이쁘지 않나요?
한글도 영어도 너무너무 이름을 잘 지은 것 같아요>.<
벚꽃 볼 시간은 없없지만!
출근길에 피어있는 벚꽃을 보면서 5분 동안 같은 길을 계속 걸었네요ㅎㅎㅎㅎ흐힛
4월 4일 치과에 다녀왔습니다.
10시 예약이었는데 늦잠 자고 싶어서
9시에 일어나서 치과 예약을 5시로 미루고 2시까지 쭉 잤네요 히히힛
요즘에 양치하면서 왼쪽 사랑니쪽이 아프더라구요.
그거 말씀 드렸더니 치아도 흔들리고 그래서 그 뒤쪽 사랑니앞에 어금니만 와이어를 끊어내고
당분간 아프지 않을 때까지는 그쪽 이로 씹는 것도 자제 해야 한다고 하셨어요.
지금까지는 치아의 배열을 맞추는 데 열중 했다면
이제부터는 위아래의 교합을 맞출 거라고 하셨어요
그래서 위 아래 철사를 다시 감았답니다~~~
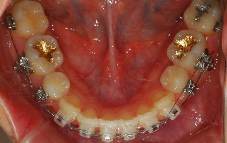
치아 사진 보실게요~
정면 사진
상악 사진
하악사진
왼쪽 끝에 와이어 끊어 놓은거 보이시죠?
(거울로 찍어서 왼. 오른쪽이 바뀌어서 보임)
측면사진
치과에서 식목일 이벤트로 꽃을 주셨어요!!!
정말 이쁘죠? 냄새도 좋아요
꽃이 원래가 바삭바삭 해서
이름은 스낵꽃!!!
치과 언니들이 그렇게 부른다구 하더라구요.
진짜 잘지은 거 같아요 스낵꽃!!
과자먹고싶음
로이즈 빙수집 아는사람???
비싼데 진짜 맛잇음...ㅋㅋㅋㅋㅋㅋ
요즘 빙수는 만원하니까...이것도 만원정도 하거든요
비싼건 아닌가요???
근데 카페베네 같은 곳과는 비교 안되는 퀄리티....
참 휴학을 하면서 배우는 것, 느끼는 것, 그리고 앞으로 어떻게 해야 할 지
생각도 많아지는 것 같아요
대학교 1, 2 학년이 마냥 어린애 였다면 지금은.....쪼금 벗어난?!
감히 어른이라고는 못하겠네요ㅋㅋㅋㅋㅋ
5개월 동안은 영어 학원 다니면서 일하고,
나머지 4개월 동안은 일만 하면서 (아직도 하는 중이고..ㅋㅋ)
휴학을 하게 되면서 새로운 사람들을 많이 만나게 되어서 생각이 많이 트인것 같아요
사실 학교 안에서는 많은 케이스를 볼 수 없어요.
똑같은 커리큘럼을 따라가고, 똑같은 스펙, 이 길을 벗어나면 뒤쳐지는 것 같고,
상대 평가이기 때문에 누구를 이기려고만 하게 되잖아요.
그런데 휴학을 하고 보니까 다르게 사는 사람이 정말 많은거에요!
학교 안에서 외국에 갔다왔다 하는 애들 보면 다반사는 어학연수, 괌이나 필리핀 같은 휴양지 여행..그런 것은 저한테는 사치고 부모님께 기댄다는 것 꿈도 못꿔요
처음에는 그 친구들이 부러웠어요.
내가 돈을 벌기 위해 시간을 투자할 동안 그 친구들은 그런 시간 없이도 편하게 누릴 수 있구나...
하지만 그게 아니더라구요!
달라요. 내가 돈을 벌기 위해 투자한 시간이 결코 무의미한 시간이 아니라
많은 것을 배우고 경험할 수 있었다는 것.
제일 좋았던 건 많은 사람들.
나와는 다르게 사는 사람들을 보고 이야기 하고 배울 수 있는 것이었습니다.
그리고... 한가지 말 하고 싶은거는
저는 아직은 어린 편이고(?맞나요...?ㅋㅋㅋ) 그래서 인생에 대해 논할 주제는 안되지만
살아가는데 늦고 빠름은 없다구 생각합니다.
여행 가기에 늦었다는 말 제발 하지말아요ㅠㅠ 제바류...
그냥 말해주고 싶었어요. 한명이라도 이 글을 읽고 생각이 바뀌면 좋겠어요.
글을 읽으면 간접 경험을 할 수 있다 하잖아요ㅎㅎㅎㅎ
주절주절 말이 길었네요헤헷
저는 5월 2일에 뵙겠습니다!
