[오라픽스 치아교정 후기 30] - 기내식 먹다가.....
안녕하세요!!!
교정만의 치아 후기 입니다.
저는 지금 시카고에요~
시카고에서 일기를 쓰니 굉장히 새롭고 시간도 오래 걸리네요ㅋㅋㅋㅋ...
아직 구경한지 2틀째하고 아침이라 사진이 그렇게 많진 않아요
오늘 밤에 야경보러 갈 생각이에요
여행을 혼자 오게 되면서 참 우여곡절이 많앗어요
그중에 가장 충격이었던 것은...
기분좋게 기내식을 먹고 잇엇어요
불고기 소스로 된 돼지고기에 밥과 콩나물이 같이 나오더라구요
밥은 약간 누룽지처럼 눌러서 나왔어요
맛잇게 먹고 있는데
먼가 딱딱한게 씹히는 거에요
보통은 그냥 대충 씹고 삼키는데 그날은 뱉어봣어요
근데!!!근데!!!
나는 돌인지 알앗는데
내 금색으로 떼웟던 것이 떨어져서 하아..,,..
이빨에 구멍낫어여
이거빨리 떼워야 하는건 아는데 저는 미국이고..
미국에 병원가면 보험이 없으니까 기본 오십만원이라고 하더라구요
항공사에 물어보니까
집에가라고ㅋㅋㅋㅋㅋㅋㅋㅋㅋㅋㅋ여기 비싸니까 집에 가야한다고
그러더라구여ㅋㅋㅋㅋㅋㅋㅋ
그래서 일단 여행자보험으로 처리가 되나 알아보고
안되면 두달 이렇게 살아야죠...ㅠㅠ
찬물먹을때 이시려워요
흑흑
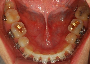
치과에 다녀왔습니다.
치과에서 이번에는 뭘햇냐면요
먼저 브라켓에 장착하는 철사 위에 얇은 철사로 감아놨었던 것을~
순서를 바꿔서
얇은 철사를 먼저 감고, 굵은 철사를 브라켓에 장착하는 방식으로
바꿨습니다.
걍 순서만 바깠을 뿐인데 저는 왜 좀더 하얘진 느낌?
그니까 교정 티가 더 안나는 느낌?ㅋㅋㅋㅋ
그냥 그렇게 느끼고 싶은가바여;;;
치아와 치아 사이의 틈이 거의 없어졋죠?
이렇게 감는 철사를 두꺼운 철사보다 먼저 감아서 안쪽으로~
상악입니다
하악 입니다.
여기서는 금색 떼운 이가 두개져
여기서는 사라졌습니다...이빨 그냥 뚫려잇어여ㅠㅠ
(아 미러리스 접사 진짜 완전 구려여 대박이에여 진짜)
시카고에 있으니 시카고 사진을 봐야겠져?
여기는 윌리스 타워!!!
사진찍기 좋으라고 이렇게 건물에서 돌출형으로 유리공간을 만들었어요
이거 검색해보면 4일 전에 막 깨져서 균열가고 그런 기사 보고 갔는데 무섭긴 하드라구여ㅋㅋ
여자들은 무섭다고 기어서 갓다가 사진찍고ㅋㅋㅋㅋㅋㅋㅋ(제 동행인이 그랳어여...ㅋㅋㅋ)
저는 재밋게 사진 찍다 왔어요
근데 뷰는 윌리스보다 존핸콕이 더 좋은 것 같아요
오늘은 존핵콕에서 밤에 야경을 볼 예정이에요
윌리스 타워 103층에서 찍은 모습
날씨가 좋아서 풍경이 깨끗하고 좋앗어요
여기는 유명한 네이비 피어!
여기 안에는 어트렉션도 있고 맛집도 쫌 잇더라구요
글고 신기한건
여기 근처에 공원에는 비둘기랑 갈매기랑 같이잇어여ㅋㅋㅋㅋㅋ
글고 역시 서양물을 먹어서인지 엄청 큼
다음달에도 저는 미국에 잇어요
그래서 치과 일기는 올리지 않지만
미국 사진을 다른 게시판에 올릴게요ㅎㅎㅎㅎ
안녕!!!

ㅠㅠㅠ교정만님 후기는 항상 부러워요..여행도 자주가시고..지금은 미쿡이라니 ㅠㅠㅠ 저랑 나이 비슷하실텐데 느무느무 부럽네요 ㅠㅠ 교정도 거의 막바지시네요 여러모로 부럽!!!ㅠㅠ
교정이 마무리 되고 있는 치아도 부럽고.. 여행도 부럽네요.^^ 금니 보관 잘 하고 계셔야겠습니다.ㅎㅎㅎㅎ
우왕!! 드디어 미국이신군요~~
진정한 시카고피자..인가요 ..? 부럽네요 정말ㅠㅠ