[치아교정후기 31] 교정만의 오라픽스 치아교정후기
안녕하세요!!! 두달만에 치아교정후기를 쓰네요
미국에서도 정말더워서 새까맣게 타서 왔는데
한국은 이제 더워진다네요???!
해가 저를 좋아하나@.@
저는 아무 탈 없이 미국 여행을 무사히 잘 마치고 왔습니다 :)
제 일정이 4주정도는 개별 여행 3주는 캠핑 투어를 했는데요
혼자 여행할때는 숙소가 호스텔이라 씻는 것도 편하고 잠자리도 편하니까
고무줄을 잘 꼈는데
3주 캠핑투어는 진짜 캠핑장에서 텐트치고자는데
핸드라이트 키고 캐리어를 뒤져서 고무줄을 끼기가 정말 힘들...ㅠㅠ
네 이건 다 핑계고 너무 피곤해서 잘 못꼈어요 흐흐흐흑
이래서 이번달에 무시무시한 다리같은걸 위 와이어에 장착했습니다
그 철사는 윗 니들을 들어올리는 역할을 한다구 해요
그리고 그 철사에 고무줄을 걸기로 했습니다. 이번엔 잘 걸어야 겠어요ㅎㅎㅎㅎ
오랜만에 고무줄 끼니까 아파여...ㅠㅠ
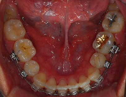
치아 사진 보여드릴게요
정면사진
측면 사진
예전에는 윗니와 아랫니를 다물었을 때 공간이 있었는데 지금은 아예 없어졌어요~
상악 사진
하악 사진
지난번 치아교정에서 말씀드렸었죠?
처음 시카고로 가는 비행기에서 기내식 먹다가 금색으로 떼운거 빠져서 맨..붕..이 되었던..ㅋㅋㅋ
두달동안 빼고 지냈는데 다행히 구멍이 더 커지지는 않았다네요ㅋㅋㅋㅋ
여행 갔다 왔는데 여행 사진이 빠질 수 없겠져?
여행 간 곳은 너무 많은데
다 보여드릴수는 없고 안타까워요 ㅠㅠ
시카고 - 존 핸콕 센터에 야경 입니다
하...사랑사는 사람과 오고 싶은 정말 낭만적인 도시에요...
마이애미 해변
아 여기는 맨날 맨날 파티... 낮에도 파티 밤에도 파티
놀고 싶다면 마이애미로!!!!
뉴욕
딱봐도 알겠져 뉴욕ㅋㅋㅋㅋㅋ
swamp tour - 여기서 보트타고 다니면서 악어도 보고 멧돼지도 보고..
먹이주는 것도 보고....
아 글구 여기서 악어고기도 먹었어여ㅋㅋㅋㅋ
캠핑투어할때 우리 팀
너무 이쁘고 사랑스럽고
보고싶어요ㅠㅠ
i miss you. xx
우리 캠핑할 때...
진짜 산속에서 할때도 있고, 제대로 된 캠핑장에서 할 때도 있고,.,.
캠핑은 정말 힘들었어요
씻는것도 열악하구, 라이트도 없고, 밥먹기도 힘들고
하지만 정말 한번쯤은 해봐야 하는 거 같아요
외국애들은 느리다고 누가그러던가요,,,
저희 조는 열할 분담 했는데도 자기일 끝나면 와서 도와주고
일도 빨리 빨리해서 시간 지체된적 없이 무사히 여행 잘 마쳤습니다.
히히히히 팀자랑만 계속함ㅋㅋㅋㅋ
말로만 듣던 그랜드 캐년
눈으로도 안담기고 사진으로도 안담겨서 너무 속상했어요
저걸 보는데 내가 보고 있는게 믿겨 지지도 않던...
그랜드캐년에 skeleton point
여기가 view가 제일 좋다고 하더라구여
왕복 여섯시간인가 일곱시간인가
제일 힘든 코스중에 하나래요
애들 다 포기하고 다른 조에 한국인 남자분이랑 갔던....
하필 저희 갔을 시간이 산이 제일 더울 때였어요
그래서 저희 팀애들이 너 죽는다고 절대 못간다고 그랬는데
정말 가고 싶다고 하니까
자기 물 주면서 살아돌아오라고ㅋㅋㅋㅋㅋ
숙소 돌아가니까 살아돌아왔다고 다행이라고 그러더라구요
Zion park - Angel Point
그랜드 캐년 이후로 하이킹을 할 기회가 또 생겼어요
여기는 정말 위험해요
떨어지면 바로 사망.,,,
쇠사슬 잡고 올라가는데 어떤 보호 가이드가 하나도 없어요ㅋㅋㅋ
근데 한국에서 못해보니까 한번 해봤는데
너무너무 재밋어어요
하이킹에 매력을 느껴서
이번 겨울에 설악산 도전해보려구요ㅎㅎㅎ
Las Vagas
라스 베가스는 정말 인공적인 도시에요 인공의 끝왕판!!!
어떻게 사막에 이렇게 화려하게 할 수 있는지..
volcano show도 봤는데 정말 멋있더라구여
밤에 클럽은 정말..,..최고엿음ㅋㅋㅋㅋ
San Fransisco - golden bridge
하, 길고 길었던 2달 동안의 미국 여행
아무 탈 없이 잘 갔다와서 너무 감사하게 생각합니다
그럼 다음 치아교정후기에서 만나요~
고무줄 잘 끼고 지내야지요ㅋㅋㅋㅋ
