[치아교정후기 33] 교정만의 오라픽스 치아교정후기
안녕하세요 교정만 치아교정후기 입니다.
요즘 날이 참 춥던데ㅠㅠ감기 조심들 하셔요
밤새고 새벽에 기숙사 들어갈때의 그 한기란......
으...너무추워요ㅋㅋㅋ
오늘은 참 역사적인 순간이에요
제가 드디어드디어 교정장치를 뗐습니다!
와 이런 날이 오는군요
먼저 상악에 철사로 앞니를 고정시키는 작업을 한뒤
뻰지로 교정장치를 잡아 뜯어요!
교정장치가 세라믹제질이라서 떨어질때 뿌지직 하는 무시무시한 소리가 나요
괜히 소리에 쪼는....ㅋㅋㅋㅋㅋ
그렇게 교정장치를 치아에서 떼어낸 뒤
접착제를 제거하는 작업을 합니다.
돌돌돌돌 거리는 장비로 치아를 깨끗하게 만들어주고
치아 본을 떠요.
정말 신기하게
상악을 먼저 치아를 정리한 뒤 본을 뜨고, 하악 치아를 정리하는 사이!
상악의 임시 유지장치가 만들어져요
와 기술 대박..ㅋㅋㅋㅋ
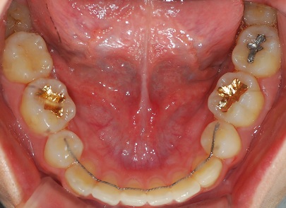
완성된 치아사진 보실게요ㅎㅎㅎ

정면 사진


측면사진

상악사진

하악사진
이년반 만에 본 내 아가들아~~~~
오랜만에 보니까 치아 작아보여요ㅋㅋㅋㅋㅋ
저는 2주뒤에 유지장치를 받으러 갑니다
룰루!!!
치아교정을 하기 전에는 치아에대한 신경은 하나도 쓰지 않았었는데
치아교정을 하면서 치아의 소중함, 잇몸의 소중함을 느끼고
얼굴을 열심히 관리하듯이, 치아도 관리가 필요하다는 걸 많이 느꼈어요.
교정장치를 땠지만 더 중요한 것은 유지장치 관리인거 같아요
유지장치 관리를 소홀히 해서 치아가 다시 원래 위치로 이동하는 친구들 많이 봤거든요.
항상 저희 치과 언니들이나 선생님께 너무 감사했습니다.
언제나 친절하게 말한마디 걸어주시고,
여기 다니다가 일반 치과 가면 적응 안된다는...ㅋㅋㅋ
그동안 너무너무 감사했습니다.(꾸벅)
이번달에 시험도 잇엇지만 생일도 있었어서 먹부림좀..햇어요ㅋㅋㅋㅋ
참치집갓는데 와 대박이에요,....
진짜 진리.....ㅋㅋㅋㅋㅋㅋ
저기 있는 거 다 참치부위인데요 이 검은색도 참치 부위래요
약간 비린맛이 쎈데 여기에 참치의 철분이 80% 있다는..ㅎㅎㅎ
저희 학교 근처에 있는 카페에 허니브래드는 특별해여
주문하면 그때부터 빵을 굽고
그래서 완전 감동적으로 쫄깃함...ㅋㅋㅋ
그리고 저 휘핑 안에는 아스크림잇써여ㅋㅋㅋㅋㅋ
시험끝나고 스트레스풀러 고고고고!
이번주 교정일기는 여기까지에요
다음주에 유지기 받아오면 유지기 착용방법이랑 생긴 모양이랑 포스팅 하러 또 올게요!!!^.^

와!!!!!!! 치아 가지런한거 짱이에여!!!!!! 교정만님 웃는 사진도 뭔가....... 부러워서 배가 아프네여ㅋㅋㅋㅋㅋㅋ 축하드려여!!!!!!!