안녕하세요 ~~~ 마지막으로 치아교정후기 쓸무렵인 10월말엔 낮에는 꽤 따뜻했던거 같은데
벌써 12월이에요 !!!!! 너무너무너무너무너무너무 추운거잇죠 ㅠㅠ 공감하시죠 ㅠㅠ
제가 11월 치아교정후기를 웨 못썻냐며는요
10월말 월치료를 받고와서 그담주에 브라켓이 떨어져써요 - 치과를 다녀왔죠 - 다시 떨어져써요 -
또 치과를 다녀왔죠 - 근데 또 떨어졌 .. 무한반복중 .. 으하하하핳 ![]()
![]()
![]()
너무 자주오니까 원장쌤이 힘들지않냐고 ㅋㅋ 11월말이엇던 월치료를 12월초로 미뤄주셨어요
교정후기는 없어도 전 11월달에 거의 매주 다녀온것 같은데요 ㅋㅋㅋㅋㅋ
그래서 그동안 별다른 치료는 하지않고 브라켓만 붙이고왔기 때문에 사진도없고 쓸말도없고
월치료가 미뤄지는 바람에 치아교정후기도 함께 미뤄지게 되엇죠
참참 그사이에 브라켓 떨어진거 붙이러갓다가 유치 하나를 발치햇어요
이건 예정에 없던건데 ;; 갑자기 얼마전부터 신경을 뾰족한걸로 찌르는듯한 느낌 ??
전 처음부터 발치를 안하고 유치를 잘라내가며 공간을 줄이는 중이엇는데
너무 아프다고 말씀드렷더니 그냥 뽑자고 하시더라구요
그래서 멍 ~~~ 네.. 네 ..
제 생각으론 유치 수명이 다해서 그런듯 ;; 반대쪽 어금니도 몇년전에 그래서 뽑앗거든요
유치는 30년 전후가 수명이라니깐 머 쓸만큼 썻죠 ㅋㅋ
급하게 약처방을 받고나서 간단히 마취를 한후 시원하게 쑤욱 ~~~ 뽑아버렸어요 ㅋㅋ
울퉁불퉁한 잇몸뼈도 좀 들어갓으면 좋겟어요
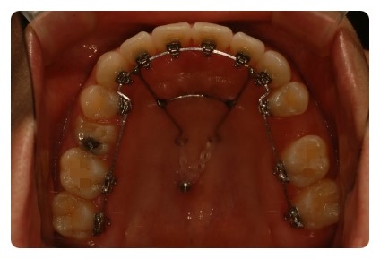
정면사진보니깐 왠지 교정 이제 마무리해도 될것같은데 ~~~ 사실 아직도 발치공간 마니 남앗어요
보통 발치를 할때 송곳니 바로 옆의 치아를 뽑는데 전 유치를 발치하는 경우라
그 뒤의 치아를 발치하기 때문에 발치공간이 하나도 보이지가 않아요 ㅋㅋ 좋은걸까요 ㅋㅋ
측면사진도 오랫만에 보니 ~~~ 약간 뻐드러져 ? 잇던 치아가 편평하게 쏙 들어가잇네요
혹시 제 치아교정후기를 처음보시는 분들은 스크류가 웨 삐뚤게 되어잇나 이상하게 생각하실텐데
가운데 자리에 스크류를 심엇다가 너무 아파서 빼고 옆으로 빗겨서 다시 심엇어요
그바람에 스크류에 거는 고무줄도 한쪽은 체인3개, 다른한쪽은 4개로 당기는힘을 다르게해요
왼쪽이 몇년전에, 오른쪽이 얼마전에 발치한 자리에요
미리 발치햇엇던 치아자리 때문에 양쪽공간이 골고루 닫히지않아서 중심선이 틀어졌엇는데
위에 정면사진보시면 지금은 다시 맞아졌어요
난 별로 중심선따위 신경쓰지않을줄 알앗는데 몇달정도 틀어져보니까 장난아니더라구요
거울볼때마다 거슬리고 ;; 중심선 약간 틀어진정도인데 막 턱이 돌아간듯한 자괴감에 빠지며 ;;
근데 다시 돌아와서 다행이에요
하아 ~~~ 벌써 12월이라니 !!!!! 말도안되 거짓말 !!!!! 시간이 웨케 빠른거죠 ㅠㅠ
올해는 유독 더더더더 ~~~ 더욱 빨리 지나간것 같은 느낌이에요
제가 치아교정을 시작한지도 벌써 일년이 넘엇네요 ~~~
예상기간은 2년이래도 딱 2년만에 끝날지는 모르겟지만 그래도 절반 넘엇다며 혼자 기쁨 ㅋㅋ
근데 사실 지금도 불편한건 못느껴요 ;; 난 좀 느껴야되 ;; 그래야 브라켓이 덜 떨어지지 ;;
두시간거리 치과에 매주 가는거 겁나 힘들다잉 ~~~ 이제 진짜진짜 조심해야겟어요 ㅋㅋㅋㅋㅋ
암튼 이번달엔 울 딸랑구 생일드레스 마무리 작업도 해야하고 .. 생일파티 준비도 해야하구
요즘 빛축제 마니하죠 ~~~ 파주 프로방스는 다녀왔는데 생각보다 별로라서
이번에는 아침고요수목원 오색별빛정원전에 다녀오려구요
지난주에는 눈도 마니오구 ~~~ 아 몰라몰라 겨울은 설렘의 계절인것 같아요 !!!!!
여봉이 크리스마스 선물도 골라야하는데 .. 음 .. 사실 아직까지 별생각없음 ㅋㅋㅋㅋㅋ
그러고보니 아직 크리스마스 트리도 안꾸몃 ;;;;; 나 너무너무 바빠 ![]()
![]()
![]()

앞 모습만 봤을 땐 거의 다 끝난 것 같은데 발치 공간이 아직 많이 남아있네요! 발치 공간이 왜 안 보이나 했더니 조금 안쪽 치아를 발치하신거군요!!ㅎㅎㅎ 어딜가나 크리스마스 분위기라 넘 좋아용ㅎㅎㅎ