돌출입교정후기 chapter15.상악 고무줄 교체 & 하악 고무줄 교체

안녕하세요~ 아이번에도 월치료 잘 받고왔어요~
의자에 앉아서 치위생언니가 장치가 잘붙어있는지 전반적으로 살펴봐 주시는데 교정장치가 조금 떨어졌다고 하더라구요 ㅠㅠ 그래서 붙여주시겠다고 작업에 들어가십니다. 근데 윙. 윙윙.
오잉 이게뭐죠 ? ,,, 접착제를 먼저 떼어낸다고 하셨는데 긁어내는게 아니라 윙. 하는 기계로 갈아내는겁니다 ㅠㅠ 흐미. 무섭고 무섭고 아프다
여러분~ 장치 관리 잘해서 다시 붙이는 일이 없도록 합시다~ 재접착하는거 무섭고 아픈 작업이더라구요. 원래 붙어있던 접착제를 제거하고 다시 접착제를 붙이고 장치를 붙여야 해요.


장치 다시 붙이기가 완료되고 원장선생님이 봐주시면서 상태를 그점검해주셨어요. 저는 전형적인 거미스마일( 웃을때 잇몸이 많이 보이고 차이가 돌출된 스타일) 인데 그러면서 말씀하나를 해주셨어요.
치아가 천천히 들어갈수록 좋은데 그 이유가 돌출된 치아가 천천히 들어갈수록 잇몸이 위로 올라갈수 있는 시간이 많기때문이라고 얘기해주셨어요. 그래서 천천히들어가도 편안한 마음과 함께 치료를 받고왔어요.
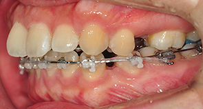
그리고는 고무줄도 새로운것으로 갈고 치아 중심선이 잘 맞는지도 봐주셨어요. 이~ 해서 위아래 치아선이 직선으로 잘 맞는지 봐주셨어요. 고무줄도 상악과 하악 둘다 새로운것으로 갈았어요
킬본장치, 상악에 새로운 고무줄로 갈았는데 아주 팽팽해서 새로운걸 하긴했구나하는 생각이 확들었어요 ㅋㅋ


고무줄을 새로 교체까지 완료후 집으로 돌아왔는데 집에가는길에 뭔가 툭! 하는 느낌이 드는거에요 그래서 거울을 들여다 봤더니 고무줄이 뭔가 끊어진 것으로 보이더라구요
그후로 뭔가 계속 불안불안 다음날 되자마자 연락해서 고무줄이 끊어진것같다고 말씀드리니 체크후 연락을 다시 주신다고 하더라구요,
다시 전화가 오셔서는 내원을 해야 할거라고 말씀해주셔서 그날 바로 저녁에 예약을 다시 잡았어요
다시 치과에 내원하였더니 원장선생님이 '어?' 그러시면서 다시 봐주셨어요 ㅋㅋ 저는 집에가는길이 고무줄이 끊어진것 같다고 말씀드렸는데 고무줄이 두줄로 된 부분중에 한줄이 끊어진것이었어요
고무줄을 교체해주시면서 의사선생님이 설명을 해주셨는데 두줄인것에서 하나만 끊어졌을때는 굳이 내원하지 않아도 된다고 하시더라구요 하나만 연결되어있어도 크게 문제 되지 않는다고
말씀해주셔서 안도의 마음과 함께 새로운 고무줄로 교체를 하였습니다.
고무줄을 달자마자 끊어져서 너무 깜짝 놀랬는데 의사선생님 설명을 들으니 다행이라는 생각이,,,ㅋㅋ
고무줄이 끊어지기도 하는 색다른 경험을 하게되었네요 ㅋㅋ 그래도 또다른 정보를 얻게되었습니다.
1. 거미스마일일 경우 치아가 천천히 들어갈수록 잇몸이 위로 올라가는 시간이 확보되기 때문에 천천히 들어간다고 걱정하지 않으셔도됩니다.
2. 고무줄이 두줄인 부분에서 하나만 끊어졌다면 안심하셔도 됩니다.
이번달에는 치료도 받고 정보도 얻은 월치료를 받고 왔습니다.
이제 12월이 되어 눈도 내리고 온도도 내려가는데 크리마스 장식과 캐롤들로 제마음은 올라가는것 같아요
남은 12월 즐겁게 보내시고 따뜻하고 행복한 크리스마스 보내세요~ 그럼 다음 새해의 교정후기와 함께 다시 올께요!
