증산댁의 덧니 치아교정후기 ②⑧ 새해 복 마니 받으세요
증산댁의 덧니 치아교정후기 ②⑧ 새해 복 마니 받으세요
안녕하세요 ~~~ 증산댁 치아교정후기에요~~
설 연휴 잘 보내셨나요 ? 저흰 아이들 학교 땡땡이치고 제주도에 다녀왔어요 ~~~
5일중 2일이 폭우가 쏟아져서 뭐 별로 한건없지만 ;;
흠 작년 한해도 엄청 빨리 지나가버린것 같더니 올해도 곧 3월이에요
전 3월이되면 헬스를 등록할까해요 ㅋㅋ 난생처음 운동하는건데 잘될지 모르겠네요 ㅋㅋ
올해 목표는 다이어트와 교정기 떼는거 !!
저번에 갔을때 이제 스크류를 빼도될것 같다는 말씀을 하셨는데 ..
정말로 무서운거 아니죠 ? 아픈거 아니죠 ? ㅠㅠ
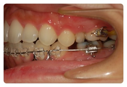
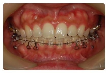
덧니 때문에 치아교정을 시작하던 처음과 비교해보면 앞니가 정말 마니 예뻐졌어요
오른쪽
상악은 발치공간이 얼마 남지않았어요
왼쪽
저 유치도 곧 뽑을듯해요 ~~~
멀 막 뽑는다니까 괜히 이제 진짜로 얼마남지 않은것 같은 기분이 들어요 ㅋㅋ
참참 슬픈 소식이 있어요
치아교정 초기부터 2년반동안 쭈욱 담당해주셨던 원장쌤께서 개인사정으로 그만두시게 되었어요
엄살도 다 받아주시고 늘 편안하게 치료받을수 있도록 도와주셨는데
미리 알았더라면 작은선물이라도 준비할것을 ㅠㅠ
그동안 정말정말 감사했습니다 !!
이만 ~~~ 전 다음 치아교정후기 들고 돌아올께요 !!
