증산댁의 덧니 치아교정후기 ②⑨ 1년이라니 ㅠㅠ
안녕하세요 ~~~ 증산댁 치아교정후기 입니다 ^^
어제까지 겨울인가싶을 정도로 꽃샘추위가 한창이다가 오늘 딱 !! 날이 풀렸어요
이번주부턴 주말나들이 계획 열심히 세워야겠어요 음하하
간만에 미용실가서 머리도 하고 ~~~ 기분이 매우매우 좋아요 ㅎㅎㅎㅎㅎ
치아교정후기로 뿅 ~~~
이번 월치료부턴 다른 원장쌤께서 진료를 이어서 봐주시게 되었는데요
불량환자라 ㅠㅠ 진료가 예정보다 길어지고 있는중이라 죄송할 따름이에요 ^^;;
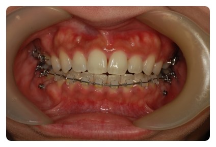
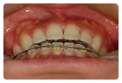
뭔가 달라진게 보이시나요 ~~~ 하악 교정장치를 새로운걸로 교체했어요
원래 투명한 아이였는데 좀더 하얀색이고 노란점박이도 있는 더 튼튼한 아이로다가 ;;
교정장치 교체하신다는 말씀에 제가 화들짝 놀라며
"저 .. 얼마 안남지않았나요 ;; 튼튼한걸로 해야할 정도로 남은건가요 ?"
"얼마 안남긴요 ~~~ 앞으로 1년은 더 해야될꺼같은데 ㅎㅎ"
ㅠㅠㅠㅠㅠㅠㅠㅠㅠㅠㅠㅠㅠㅠㅠㅠㅠㅠㅠ
저 벌써 29번째 치아교정후기인데 .. 2년반인데 .. 앞으로 1년이라니 .. ㅠㅠㅠㅠㅠ
네 .. 이렇게 된것입니다 ..
암튼 예전에 치위생사 ? 간호사 ? 분께 여쭤봤었는데
사람들이 입천장와이어 특이하다고 하던데 ~~~ 원래 다 이런거 아니에요 ? 했더니
병원마다 다르기도하고 같은 병원이라도 원장쌤마다 스타일이 다를수있대요
치아교정 진행과정은 물론이고 교정장치 위치나 .. 와이어모양 등등
어차피 오래되어서 하악 교정장치가 군데군데 깨진것도 많고 겸사겸사 ~~~
역시나 교정장치 떼는거 진짜 아프더라구요 ㅋㅋ
교정장치 자주 떨어졌던지라 만만하게 봤는데 똑똑 교정장치를 떼낼때마다 치아 뽑히는줄 ;;
요로케 송곳니에 브라켓이 닿거든요
전에 싹 덮이던 치아가 갑자기 다물어지지않는건 바이트블럭을 더 쌓았기 때문이에요 ㅋㅋ
전 바이트랑 마지막까지 함께할 운명인가봐요 ㅋㅋㅋㅋㅋ
저 송곳니 옆에 1/3 가량 남아있던 유치는 다음 월치료때 뽑을거라고 하셨어요
그래서 소염진통제도 미리 처방받고 왔어요
진료끝나고 상담할때 치아교정교정 기간이 길어지는 이유에 대해서 자세히 말씀해주셨는데
전 유치발치인데 유치인 어금니가 일반적으로 발치하는 송곳니보다 크기때문이에요
그래서 발치공간이 더 넓어서인것도 있구요
더 중요한 이유는 원래부터 많이 뻐드러진 치아가 아니라서
발치공간이 아직 꽤 남았는데도 벌써 앞니가 가지런하게 세워져있어요
이걸 발치공간으로 무리하게 당기다간 옥니라고 하죠 ?
치아가 ㅣ 모양이 아니라 / 이렇게 안으로 들어가는거요 그럼 합죽이처럼 보일수도 있고
그렇기 때문에 천천히 진행해야된다고 해요
생각만해도 끔찍하네요 ㅠㅠ 이게 다 예쁜 치아를 만들어주시기 위함이었는데 ~~~
그냥 뭐 .. 앞으로 1년더 감사한 마음으로 다니겠습니다
그런데 웨 눈물이 .. ㅋㅋㅋㅋㅋㅋㅋㅋㅋㅋㅋㅋㅋㅋㅋㅋㅋㅋㅋㅋ
전 그럼 다음 치아교정후기로 돌아올께요 !! 모두모두 행복한 하루되세요 ^^
