[사진첨부] 교정 중에 원장 선생님이 바뀌었어요!
교정 한지 두달짼데 원장 선생님이 바꼈습니다.

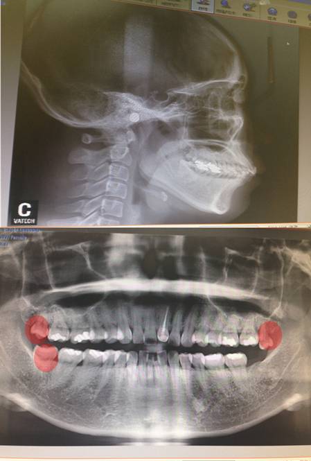
빨간색으로 표시된 사랑니는 벌써 발치 완료 했습니다.
제가 돌출입에 아랫니가 삐뚤삐둘해서 교정을 시작했는데
처음 원장 선생님이 입술이 너무 얇고 옥니가 될 가능성이 많다며,
사랑니 3개만 빼면 비 발치로 돌출입 교정이 가능하다고 하셨습니다.
그래서 두달 동안 상악 브라켓 상악 악궁 확장을 위해 T.P.A 진행 중이였는데.
말도 없이 원장님이 바뀌어버렸네요.
선생님 마다 스타일이 달라서 다시 상담을 받았더니
돌출이 심하다며 소구치를 발치를 권하셨어요
절대 사랑니 발치로는 입이 들어갈 수 없다며, 그리고 악궁도 아랫니도 확장 하기로 했는데
악궁 확정도 필요없다고 하셨구요, 너무 혼란스러웠지만 일단 소구치 발치하기로 했습니다.
문제는 소구치 중 앞에 위치 한걸 빼면 5미리 정도 뒤에 위치한걸 빼면 3미리 정도 들어간다고
결정을 하라고 하시는데 너무 고민이 됩니다
옥니가 될 수도 있다고 해서 3미리만 넣고 싶으나, 3미리 넣으면 만족을 못할까봐요..
엑스레이 사진을 첨부하니 철사맨 선생님이 보시기에는 어떻게 하는 방법이 좋을지
조언 좀 부탁드립니다.. 너무 고민이 되요 ㅠㅠ 잠도 안와요 ㅠㅠ
교정 전 후 입니다.
교정한지는 2개월째구요

글쎄요???
어느 누구도 다른 선생님의 진단 결과에 뭐라하기는 어렵습니다. 제 의견은 순전히 개인적인 의견이니 참고만 하시기 바랍니다. 제가 님을 치료한다는 가정을 하면, 아마도 최대한 넣는 방향으로 할 것 같습니다. 입도 나온데다가 덧니도 있으니까요. 보통 발치공간은 7~8미리인데 덧니 해결하면 1/3을 없어지니까요. 윗니는 약간 각도가 죽어있으므로 뿌리쪽이 들어가도록 힘을 써야할 것 같네요. 치아 사이를 갈고 어금니를 확장하고 어금니를 뒤로 넣더라도 현재 입에서 2미리 이상을 넣기는 거의 어려울 것 같습니다.
가능하면 선생님이 자주 바뀌지 않는 교정전문 치과에서 받으시는 것이 좋습니다. 걱정이군요. 중간에 또 바뀌면 곤란할텐데