안녕하세요. 질문드립니다. 글이 조금 깁니다. 잘 부탁드립니다.
저는 발치교정 후 유지장치 2년차인 사람입니다.
현재 가철식과 고정식을 둘 다 쓰고 있습니다.
다름이 아니라 제가 7월 초 고정식 유지장치 탈락으로 7월 8일 치과를 방문하였고
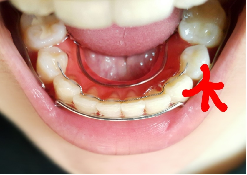
첨부한 사진에 빨간색으로 표시 한 두 부분을 치위생사분이 다시 붙였습니다.

새로 붙인 부위의 접착부분이 좀 도톰하다고 확 느껴져서 이상하다 했지만, 단순히 어색한거라 생각했습니다.
그런데 그 날 치위생사의 실수로 가철식 유지장치와의 교합을 확인받지 못했습니다.
집에와서 하악 가철식 장치를 맞춰보니 고정식 재부착한 부위와 그쪽 끝 어금니 부분에 굉장한 압박감이 느껴졌습니다. 가철식 유지장치도 제대로 안들어갔구요.
결국 7월 12일 재방문 했습니다.
우선 담당의사분이 고정식이 아닌 가철식 장치의 분홍 부분 을 깎아서 들어가게는 해놨습니다.
저는 재부착한 부위에 계속 압박이 느껴진다 했지만 문제 될게 없다는 의사의 입장에 집으로 돌아갔습니다.
그리고 지시에 따라 식사시간을 제외하고 가능하면 오래 사용했습니다. 20시간 넘게요.
그런데 계속 사용할수록 빼고 벗을때 새로 붙인 부분의 치아에 둔통이 느껴졌고,
더 나아가 사진에 파랗게 표시한 하악 앞니 잇몸 부분이 계속 간지러웠습니다.
꼭 교정 초기 치아가 이동했을 때의 잇몸상태 같았습니다.

이걸 계속 버티느냐 고민했지만 그간 멀쩡했던 유지장치로 인해서 이에 문제가 생기는게 이상했기 때문에
이틀 뒤에 병원에 연락 후 15일 예약을 잡았습니다.
진료를 본 담당의사는 여전히 전혀 통증의 원인을 알 수 없다고 했고,
장치와 치아 사이의 공간을 확인시켜 줬습니다.
저도 확인 했구요. 그러나 저는 계속 치아에 압박이 느껴졌습니다.
결국 가철식 유지장치 분홍 부분을 더 깎았고,
그 부분을 깎는다는건 유지력이 떨어질 수 밖에 없다는 말을 들었지만...
아예 못끼게 되는 상황보단 떨어지더라도 끼는게 나을 것이라는 생각에 깎아달라고 했습니다.
저는 고정식 장치의 접착부분이 문제 아니냐고 했지만,
의사분에게 그럼 장치자체가 안 들어가기 때문에 들어가는 이상 문제가 없다.
고정식 유지장치가 문제라면 가철식 유지장치를 하지 않았을 때도 문제가 생겨야한다.
또 유지장치는 뭔가 기능을 하는게 아니라 단순히 유지를 시키는 장치이기 때문에 치아에 작용을 하지 않는다고 들었습니다.
그래서 일단 계속 재부착한 치아부위가 거슬렸지만 이해는 하고 집으로 돌아왔습니다.
그리고 계속 의사의 지시에 따라 가철식 장치를 사용하고 있습니다.
그런데 7월 16일 아침에 일어나서 찬물을 마셨더니... 이제는 이까지 시립니다. 사진속에 표시한 부분들의 치아만 시립니다. 특히 하악 앞니가요.
7월 17일 이후 가철식 장치를 뺀 후에도 계속 하악 아랫부분 잇몸이 간지럽고, 치아도 편하지 않습니다.
혀로 계속 쓰다듬어(?) 혀끝도 닳고있습니다.
양치할때 칫솔이 닿으면 근질근질 하고, 딱 안좋은 느낌이 납니다.
금일 (19일) 치아 시림과, 간지러움은 줄었는데 제기준 왼쪽치아의 교합이 잘 안 맞는 느낌입니다.
입을 다물 때 귀밑 턱 근육이 뻐근하게 당기고, 왼쪽만 잘 안닫히는 느낌에 턱도 얼얼합니다.
도데체 뭐가 문제일까요?
이 다음엔 가철식 장치를 새로 맞춰야 한다고 합니다. 사실 그럼 간단히 문제 해결되겠죠.
그런데 고정식 유지장치를 재부착 할 때마다 이런다면 계속 따라서 가철식 장치를 재제작 할 수도 없고....
혹시 이런 사례가 있었는지. 뭐가 문제가 있는건지 알수있을까요?
2년차에도 멀쩡했던 하악의 치아와 유지장치가 7월 8일을 기점으로 문제가 생겼는데 원인이 뭘까요...?
답변 부탁드립니다.


답변이 늦어 죄송합니다. 적어주신 경과와 증상등은 잘 살펴 보았습니다만 저도 정확한 원인을 모르겠네요... 이 치료후 유지장치라는게 교정 장치만큼 대단한 힘을 내지는 못합니다. 분홍색 부분을 조정해서 장치가 들어갈 수 있도록 했다는데 장치를 넣을때 잘 안들어 가지는데 억지로 들어가는 상태는 아니라고 생각합니다만 만약 그렇다고 하면 좀 더 조정을 받아 보시는게 좋을것 같습니다. 아래 앞니 부분에 교정치료 초기 치아가 이동할때와 비슷한 느낌을 받는다고 하셨는데 여러가지 요인이 있을 수 있으며 잇몸 상태에 따라 말씀하신 증상들이 나타날 수 있어서 좀 더 지켜 보시는게 좋을것 같네요. 당장은 어떤 적극적인 액션을 취하기 상당히 애매한 상태로 판단됩니다. =)