안녕하세요
많은 분들이 질문 남기시는데도 정성스럽게 답변 남겨주시느라 수고가 많으시네요 ㅜㅜ
20대 후반 직장인입니다.
어릴 때부터 교정을 너무 하고 싶었는데 여러 이유로 미루다
이제 정말 더 늦으면 안될 거 같아서 진지하게 고민중인데요
4년전쯤 많은 의사들이 인정한다는 경력이 엄청 많은 의사분이 하는
인천에 한 교정전문치과에 가서(아버지 친구분 치과의사분이 추천해서 갔습니다.)
80만원내고 정밀검사를 받았더니 일단 공간이 없어서 위아래 다 발치를 해야하고
윗니 먼저하고 아랫니 하는 식으로 3년 메탈교정으로 8백인가 6백인가를 부르더라구요
비싼 가격에 엄두도 안나서 그 이후로 못하고 있었는데
사실 다른 데에서는 정밀검사를 받진 않았지만 그렇게 길고 비싸게 부르는데는 없었거든요.
그래서 이후로도 교정에 대해서 계속 알아보고는 있어요.
문제는 제가 다니는 직장이 정신적 스트레스도 많고 새로운 사람과 미팅을 자주하고 말을 많이 해야하는 일인데
교정을 하면 심미적으로, 발음에도 문제가 생기잖아요. (사실 발음문제는 돌출입때문에 지금도 스트레스를 많이 받아요..)
또 교정으로 인한 스트레스도 클거고.
해서 좀 비싸더라도 빨리 교정을 끝내는 방식을 알아보니
1.바이오교정이라고
위턱을 안쪽으로 집어넣을 때는 '피질골 절단술'을 해서 턱뼈를 완전히 잘라내지 않고 딱딱한 뼈 표면에 금을 낸 뒤 장치를 붙여 이동시키는 수술+교정 법이 있다는데 빨리 끝나긴 하는 거 같은데 뼈수술에 가까워서 부작용이 클까 걱정되고
2.다른 급속 교정방법으로
일반교정처럼 장치부착하고 발치 배열 하는게 아니라
발치하고 돌출해결하고 장치 붙이는 방식이 있고 인위적으로 순서를 바꾼거라 문제가 있을 수도 있고
3. 코티시전이라고 잇몸에 상처를 내서 옮기는 방법이 있는데 아무래도 교정후 부작용있지 않을까 싶고
4. 엑셀덴트라는 급속교정장치를 쓰는 방법이 있는데. 진동을 주면서 빨리 이동하는 것이라 문제가 있지 않을까 싶은데
본래 교정을 하고나면 잇몸이 약하다고 많이들이야기하잖아요?
근데 이런 방식으로 하면 교정 중, 후에 부작용이 심하지 않을까요?
사실 제일 하고싶었던건 1. 바이오교정이었는데 금을내어 통째로 이동시키는게 아무래도 걱정되더라구요.
그렇다고 다른 급속 교정방법을 찾아보니 다 잇몸에게 부담이 갈 것같은데...
1,2,3,4 방법을 비교한다면 금액부담이 덜한것과 부작용이 덜한 것은 무엇이 있을까요??
잇몸건강을 생각하면 네개다 안좋은가요??
복잡한 질문 죄송합니다. 4가지 방법이 한 치과에서 하는 거면 비교를 부탁하겟는데
각각 다 다른 치과에 있다보니 한번에 비교하기가 힘들어서요 ㅜ
어려우시겠지만 답변 부탁드리겠습니다...ㅜ


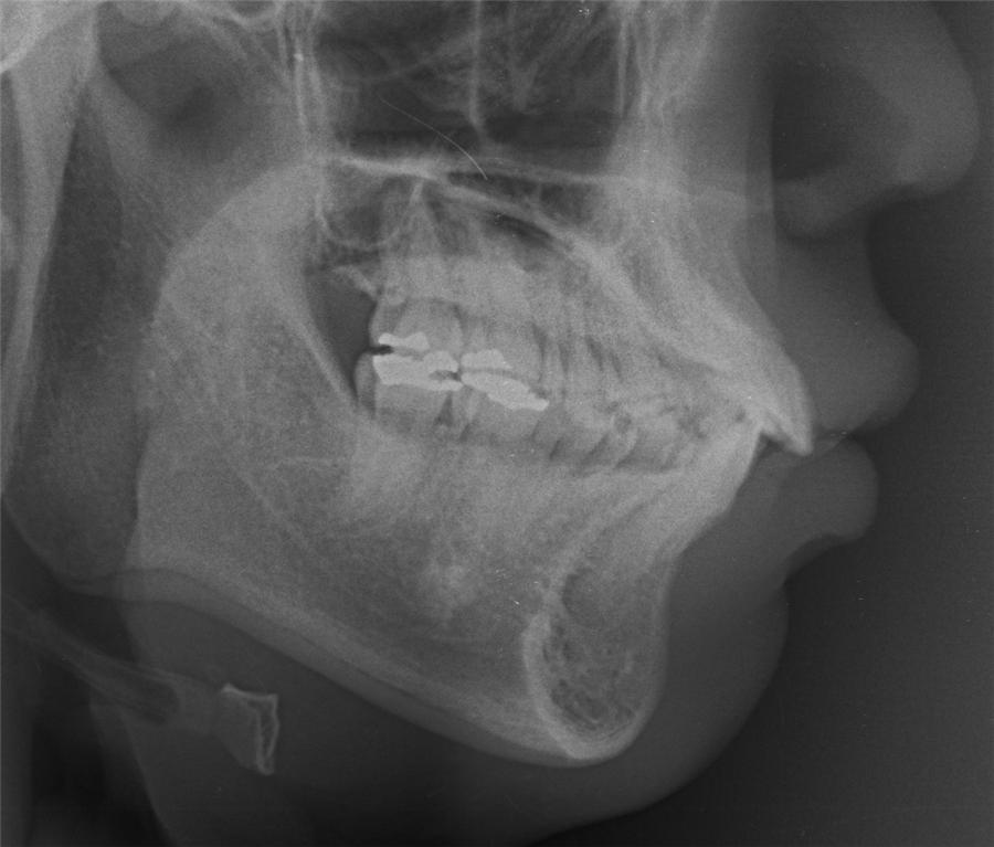
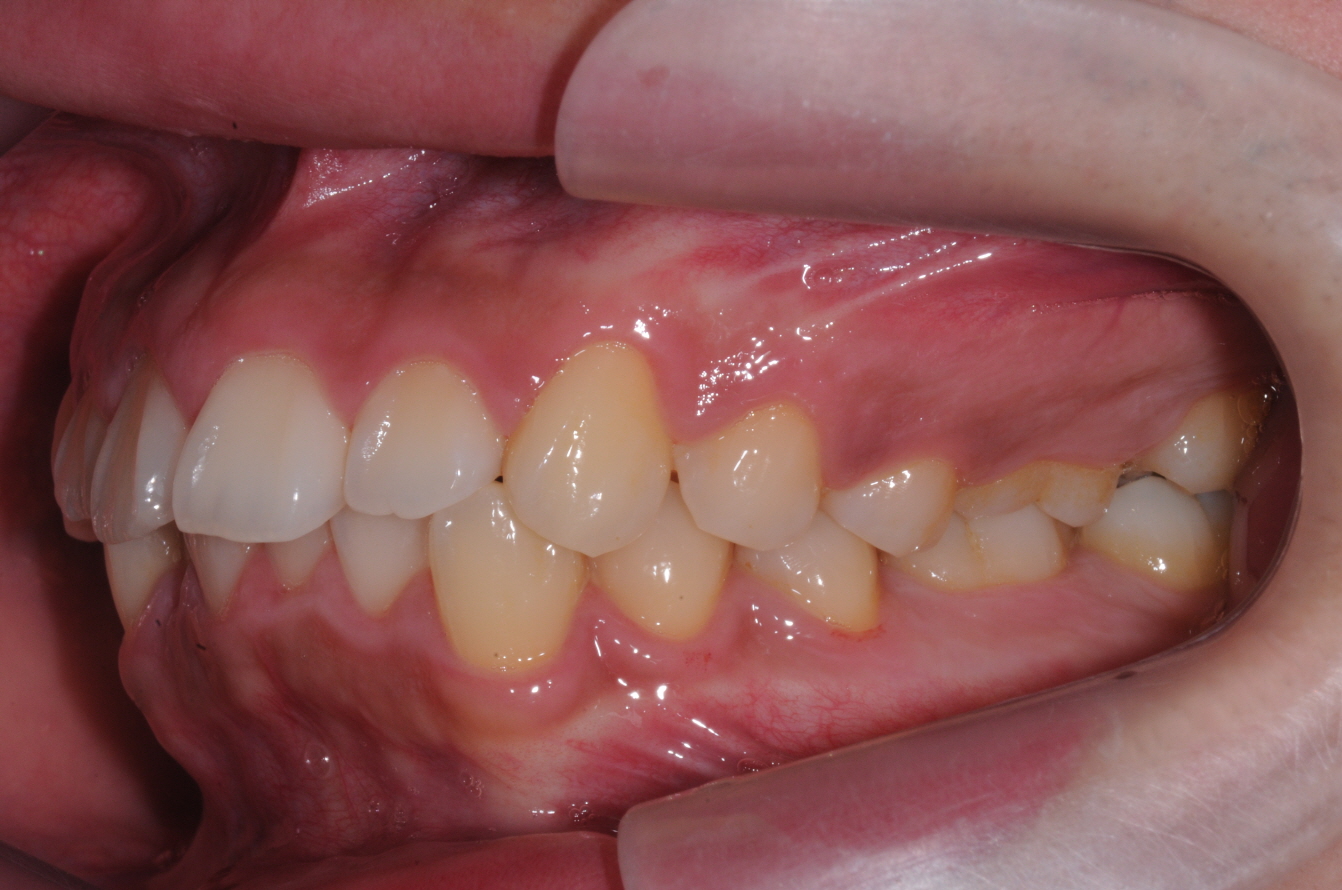
네... 사진 잘 보았습니다. 고민이 많이 되겠군요. 님의 상태는 일반적인 돌출입 부정교합이라고 판단이 됩니다. 그리 어려운 요소도 없구요. 일반적인 브라켓 교정치료로 진행하여도 1년반에서 2년 사이정도에서 교정이 이뤄지리라 예상이 됩니다. 님이 문의하신 교정법들은 치아의 이동을 좀더 빠르게 하는 조치들 인데요. 대략 6개월정도의 단축 효과정도 있으리라 생각이 됩니다. 즉, 1년 남짓정도는 걸리게 되지요. 1번과 3번의 치료방법은 수술의 심적인 부담이 많은 편이랍니다. 2번의 치료는 돌출된 입의 선행적인 치료가 장점이고 치료기간의 메리트는 그리 없지요. 저의 경우는 킬본 교정이라는 장치를 사용하여 2번의 방식데로 치료를 하는 경우가 많이 있는데 주 목적은 치료기간의 단축에 있는 것이 아니라 잇몸돌출의 해소와 앞서 언급한 돌출의 선행적인 해소에 있답니다. 4번의 방법은 님이 진동기를 일정시간 물고 있는 것인데 저는 사용을 하지 않아 뭐라 말씀을 드리기가 그렇습니다. 어쨋든 1번부터 4번까지의 치료는 특별한 부작용이 있는 치료들은 아니랍니다. 님이 언급한 교정치료 중의 애로사항인 심미적인 부분은 장치의 위치를 안으로하는 방법등을 고려해 볼 수 있구요. 발음은 교정치료 후 3개월 정도 되면 대부분 적응을 하는 것 같습니다. 참고가 되셨는지 모르겠네요...^^