또한 저희가 분석 할 때는 방사선 사진에 해부학적 지점을 여러게 잡아서 각도와 길이를 잰 후에 비교평가를 하는데 그런 것이 없어서 좀 힘들다는 것입니다.
우선 치료 전 후 방사선 사진을 비교 할 때 치료 후 방사선 사진에서 아래턱의 아래 골격선을 보면 약간 변형이 온 것 처럼 보입니다. 아무리 교정치료를 오래 받아도 이 선은 변화가 오지 않는데 변형된 것을 보면 방사선 사진을 찍을 때 잠깐 움직였던지 아니면 방사선 기계에 이상이 있었던 것 같습니다. 이로 인해서 아래턱의 연조직 선도 변형이 온것 같네요.
제 추측으로는 교정 전에 위 아래 앞니가 약간 겹쳐져 있었는데 교정치료를 비발치로 하기로 정하고 치료 하시면서 위 아래 앞니들이 약간 앞으로 나오지 않았나 생각합니다. 여기서 재교정 치료로 입이 들어가게 하시려면 아마도 발치를 해야할거 같네요. 치료 받으신 치과에 가셔서 다시 한번 상담을 받아 보시는게 좋겠습니다.
미소미소님,
참 어려운 질문이네요.
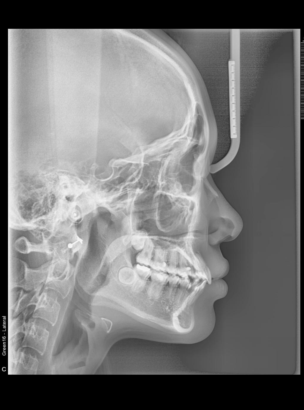
방사선 사진으로만 외모를 평가하기가 쉽지 않어서요.
또한 저희가 분석 할 때는 방사선 사진에 해부학적 지점을 여러게 잡아서 각도와 길이를 잰 후에 비교평가를 하는데 그런 것이 없어서 좀 힘들다는 것입니다.
우선 치료 전 후 방사선 사진을 비교 할 때 치료 후 방사선 사진에서 아래턱의 아래 골격선을 보면 약간 변형이 온 것 처럼 보입니다. 아무리 교정치료를 오래 받아도 이 선은 변화가 오지 않는데 변형된 것을 보면 방사선 사진을 찍을 때 잠깐 움직였던지 아니면 방사선 기계에 이상이 있었던 것 같습니다. 이로 인해서 아래턱의 연조직 선도 변형이 온것 같네요.
제 추측으로는 교정 전에 위 아래 앞니가 약간 겹쳐져 있었는데 교정치료를 비발치로 하기로 정하고 치료 하시면서 위 아래 앞니들이 약간 앞으로 나오지 않았나 생각합니다. 여기서 재교정 치료로 입이 들어가게 하시려면 아마도 발치를 해야할거 같네요. 치료 받으신 치과에 가셔서 다시 한번 상담을 받아 보시는게 좋겠습니다.
더 궁금하신거 있으면 다시 올려주세요.
감사합니다.
결국 치아가 더 나온거네요..ㅠ
감사합니다