초등3학년 돌출앞니 교정상담 후 고민입니다.
안녕하세요.
현재 저는 외국에 거주중이라 교정치과를 결정하기가 더 힘이 드네요..ㅠㅠ 초등3학년 아이의 앞니가 돌출되어있는 상태입니다.
정확히는 앞니 네개가 돌출이라고 봐도 되겠네요.
앞니의 영향인지 아랫니도 바깥으로 살짝 나왔다고 하네요.
앞니의 크기가 큰 상태이고 추후 영구치가 가지런히 나올 공간이 부족하다고 해요.
턱 모양이 무턱에 가깝고 의식해서 입술에 힘을주지 않으면 입도 다물어지지 않습니다.
병원 두 군데서 진단받았는데
첫번째 병원은 프리올소를 착용권유. 기간 1년 예상. 영구치 다 나온후 2차교정 해야함.
두번째 병원에선 영구치인 앞니 4개와 제일 끝쪽 영구치 어금니 2개에 브라켓 부착 후 와이어(자가결찰 말씀하신듯) 걸어 입안을 넓힌 후 프리올소 착용권유. 총 기간 2년 예상.
왜 프리올소를 처음부터 사용 못하냐면 입술주변 근육의 힘이약해 잘때 장치가 빠질거라네요.
선생님의 경력으로 봤을때 두번째 병원에서 하고싶어서 간건데 조금 의아해서요.
어금니 두개랑 앞니 네개만 브라켓부착해서 자가결찰을 사용해도 악궁확장효과와 앞니의 돌출이 어느정도는 해소가 되는게 맞을까요?
고견 부탁드립니다.




녜, 베리벨님.
외모 사진이 없어서 조금 아쉽지만 그냥 제 의견을 보내 볼께요.
우선 한국 아동에 대한 치료 경험이 많으신 선생님한테 치료 받는 게 중요한 것 같습니다.
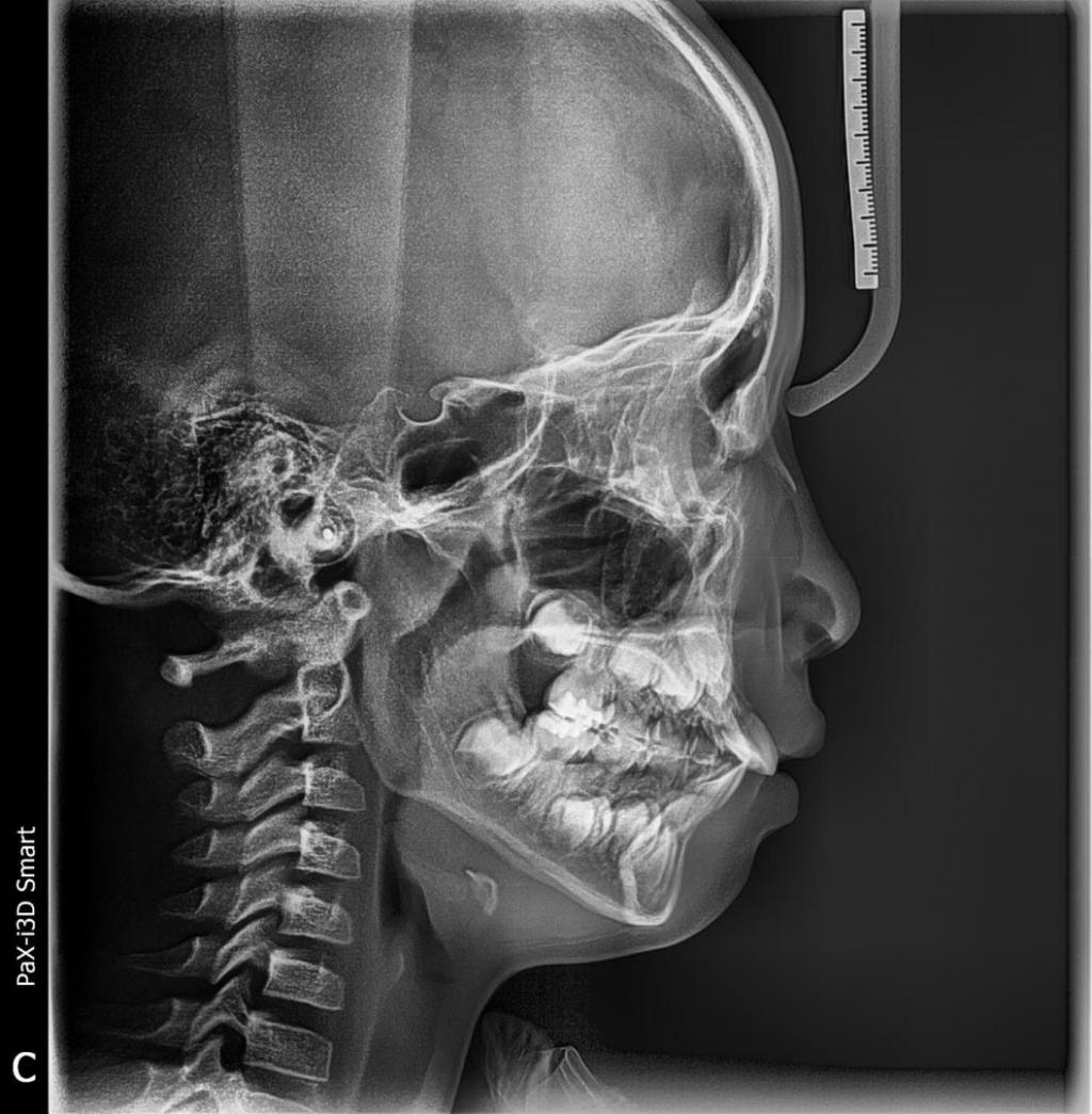
보내주신 두 장의 방사선 사진을 보면 일단 어금니 관계가 안 맞네요.
저 같으면 우선 Headgear를 써서 위 어금니를 뒤로 보내서 어금니 관계를 맞추고 아래 턱 성장을 유도한 뒤 다시 진단을 해서 위아래 작은 어금니 발치 4개를 고려하면서 치료 계획을 세우는 게 좋아 보이네요.
위 턱 확장은 아래 턱보다 좁은 경우에만 유용하고, 위 아래 턱 폭이 맞는데 위 턱만 확장한다는 것은 의미가 없어 보입니다. 그리고 앞니만 배열해서는 큰 그림으로 볼 때는 pre-orthodontic treatment의 효과가 없어 보입니다. 사실은 "프리올소 착용"이란 것이 무엇을 뜻하는 지는 잘 모르겠습니다만.
베리벨님,
어지럽게 만들어드려서 미안합니다.
혹시 아직 결정 안 하셨다면 다른 교정치과에 방문해서 제가 말씀드린 것을 여쭈어보는 것도 좋겠지요.