질문하기
로그인
질문 목록
전문의 칼럼
자주 찾는 키워드
임플란트
미백
치아교정
소아치료
자주 찾는 키워드
돌출입교정
치아교정 진행중
기타
유지장치
덧니교정
치아교정장치
치아교정준비
턱관절
부분교정
어린이교정
301
건의 질문하기
최신순
추천순
댓글순
전체보기
임플란트
치아교정
라미네이트
크라운
충치
미백
사랑니
양악
소아치료
브릿지
헤헤잘되길
10년 전
오늘 장치 붙였는데 떼고 다시 붙일수 있나요?
오늘 장치 붙이고 왔어요. 제가 4번소구치(송곳니바로옆)가 느끼기에 뾰족하게 느껴지고 위아래 맞물리지도 않는것 같고 불편했어요. 교합이 안돼서 불편함 때문에 턱을 움직이게 되고 턱관절장애가 3년 정도 지속되...
전문의 답변 1
윤진수
10년 전
돌출입교정, 얼굴형 변화
안녕하세요 . 돌출입교정 관련해서 여쭤볼게 있습니다 .. 제가 고등학교 1학년 때 윗니 2개를 발치하고 돌출입 교정을 하게 되었는데요, 발치공간을 메우는 입만 들어간게아니라 얼굴형이 많이 변한 것 같다고 느끼고...
전문의 답변 1
하늘이다
10년 전
유지장치
유지장치를 상악은 가철식으로 하고 하악은 고정식으로 한다고합니다 보통 상하악 모두 고정식과 가철식을 병행하지 않나요? 이야기해서 비용이 더 들더라도 더 해달라할까요? 아님 원래 저렇게 하는 건가요? 참고로 ...
전문의 답변 1
교정하려는여자사람
10년 전
돌출입교정 문의
안녕하세요? 40세 여자 돌출입(잇몸돌출) 무턱 거미스마일을 교정하고자 교정전문병원 세곳을 찾아 정밀진단하여 다음과 같이 나왔습니다. 1번 교정전문병원: 돌출입 무턱 거미스마일 동시에 모두 치료된다. 우리병원...
전문의 답변 1
뽀또냠냠
10년 전
발치여부
교정 시작한지는 한달안되었습니다. 처음 시작할때 제 고민은 아랫턱이 무턱이라 돌출입 처럼 보이고 앞니가 바르지않아 하게 됬구요. 교정시작할때 의사샘이 발치하면 위에 작은 어금니 두개 빼자하셨고 아래는 안빼...
전문의 답변 1
스티븐
10년 전
어금니 후방 이동
안녕하세요. 만 40세에 설측교정을 시작했고 오개월이 지났습니다. 어릴때 상악 오른쪽 작은 어금니가 공간 부족으로 입천장에 낫고 충치가 생겨 이십대 초반에 이를 발치 했습니다. 그래서 교정을 시작할때 상악 오...
전문의 답변 1
어린왕자2
10년 전
교정 후가 어떨지 걱정스럽습니다.
안녕하세요? 이는 고른 편인데 약간 돌출입에 위앞니만 사이가 아주 약간 벌어져 있습니다. (아래 사진과 비슷) 미용 목적 외에 교정을 해야 좋은 이유를 알고싶습니다. ( 교정하면 훨씬 이뻐진다고 의사선생님께서 ...
전문의 답변 1
박빅즈
10년 전
오늘 상담을 받고왔는데...두가지선택안이 있어요..
저번주에 3d촬영 및 x-ray 검사등을 마치고 오늘 검사 결과를 토대로 상담을 받고왔는데요... 원장님이 말씀하시길 발치를 4개를 해야한다고했고 위에는 2개 뽑으면 되고 아래는 4번치아 2개를 뽑을지 아니면 5번치아...
전문의 답변 1
교정힘드렁
10년 전
이 맞물림 관련해서 질문드려요~~
안녕하세요 선생님 저는 4개 발치후 교정 중이고 공간은 거의 다 닫힌 상태인데요, 아직 위쪽 오른쪽만 거의 안닫힌 상태에요 제가 궁금한거는~~ 이 맞물림에 관한건데요 근데 이 맞물림과 관련해서 입을 편하게 닫으...
전문의 답변 1
후히호호호
10년 전
교정 중 얼굴변화관련해서 질문드려요~~
교정후 얼굴길어짐,볼꺼짐현상 과 관련해 질문드립니당! 교정한지 1년 조금 안된 교정인입니다 저는 5번어금니 4개 발치하고 교정중입니당! 한가지 궁금한게 있는데, 우연히 사진을 찍어서 교정전과 비교를 해보니 처...
전문의 답변 1
랩키
10년 전
코티코토미(피질골절단술)에 대해..
안녕하세요^^ 교정치료 시작한지 7개월차 되는 32살 남자입니다. 저는 부산에 goodO 치과병원에서 교정을 하고 있는데요~ 돌출입이여서 위아래 각각 2개씩 발치하고 와이어로 이를 고르게 펴고 있는 상황입니다. 저는...
전문의 답변 1
키프러스
10년 전
선생님, 발치 or 비발치 고민되는데 조언좀 부탁드려요~(돌출감 심한가요?)
젤 위쪽사진은 치과에서 찍은거구요 교정 시작한지는 2주정도 되었네요ㅋㅋ 담주 방문때까지 발치, 비발치 정해야하는데 회원님들 의견 듣구싶어요! 치과에선 입이 돌출됐다고 발치하는게 어떻겟냐고 하셨는데 비발치...
전문의 답변 1
딸구
10년 전
교정 문의
현재 발치 교정3년차인데 별다른 효과가없어서 교정기 제거하고 수술할려고하는데 괜찮을까요?? 사진 첨부합니다.
전문의 답변 1
지히
10년 전
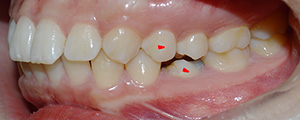
자가결찰할지 세라믹할지 고민중입니다!
발치교정을 할건데요! 저 빨간표시로 된 치아를 발치하고 교정하려고해요.. 처음엔 자가결찰을 하려고했는데 제가 덧니나 그런 고르지않은 치아가 별로없어서 세라믹해도 무관하다고 하시네요 어떤걸 하는게 더 나을...
전문의 답변 1
크러러로로
10년 전
선생님 도와주세요ㅠㅠ
사진첨부있습니다!!! 안녕하세요 선생님 저는 지난해 8월정도 교정을 시작해 현재 9개월 가량 접어든 교정인입니다.ㅠㅠ 사진을 보셔도 아시겠지만 처음부터 치열은 가지런했고 윗쪽앞니하나가 바깥으로 뻐드러져 있...
전문의 답변 1
파팅
11년 전
돌출입 무턱 부정교합..ㄷㄷ
ㅈㅓ는 잇몸이랑 치아 모두 돌출이고 무턱에 부정교합입니다 치열은 반듯한데 아랫니들이 윗니보다 작고 이 사이사이 공간도 꽤 있어요 윗니엔 전혀 없는데 이때 아래도 발치를 하면 무턱인데 더 아래쪽이 빈약해지려...
전문의 답변 1
콤비교정걱정
11년 전
교정 환불에 대해 궁금합니다.
현재 치아교정 하고 있고 의사선생님이 도저히 신뢰가 안가서 병원을 옮기려고 합니다. 지금 치아교정은 6개월정도 진행하다가 치과가 믿음이 가지 않고 제가 일이 있어서 1년 반정도 중단한 상태에서 최근 다시 진행...
전문의 답변 1
콤비교정걱정
11년 전
설측교정 관련 질문드립니다ㅠ.ㅠ
1. 현재 콤비교정을 하고 있는데요ㅠ.ㅠ 윗니는 설측교정을 하고 있는 상황입니다. 그런데 설측교정 특성상 교정철사의 앞니와 어금니로 이어지는 부분이 꺽여있습니다. 처음에 얇은 철사는 꺽여있는 정도가 심하지 ...
전문의 답변 1
yeeun00
11년 전
돌출입 재교정 병원선택 고민이예요ㅠㅠ
10년전쯤에 위.아래 4개 발치해서 교정했습니다. 현재 앞이빨이 토끼 이빨처럼 튀어나왔구요 옆라인에서 보면 평균선안에 들어와서 심한돌출은 아니라고 하지만.. 저는 윗입술에 계속 힘줘야 신경이 쓰여서..... 교정...
전문의 답변 1
붕어빵2
11년 전
교정을 3년전에 끝냈었는데 다시하고 싶어요
제가 원래 입모양이라던지 옆얼굴모양이라던지에 대해서는 별로 불만이 없었는데 덧니가 몇개 있어서 교정을 하게 되었었어요. 근데 입이 살짝 들어가 있는 편이라고 선생님이 그러셔서 발치보다는 이를 깎는 게 낫겠...
전문의 답변 1
1
2
3
4
5
6
7
8
9
10
팔로잉 최신글
모닝글로리
50대 덧니 교정 궁금합니다.
이곳치과
교정 3개월차 인증
이곳치과
테스트 치과|@|테스트 치과|@|테스트 치과
관리자
밥다시
작은잠자리
요즘 임플란트 하는데 얼마나 걸리나요?
홈으로
커뮤니티
치과찾기
질문하기
랭킹도전
마이페이지
비지니스 홈
팔로잉
모닝글로리
po2gnn
미역
붉은백조
내 전문의
모닝글로리
내 치과
콘텐츠
내 후기
내 질문글
내 커뮤니티 활동
좋아요 목록
스크랩
쪽지함
기타 서비스
내 위치 설정
관심 키워드 설정
고객센터
커뮤니티
치과찾기
질문하기
랭킹도전
더보기
어떤 정보를 찾고 계신가요?
제목이나 글 내용의 일부분으로도
검색이 가능해요!