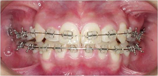
세라믹장치
15년 전

ceramic.jpg

1.jpg  

가장 널리쓰이는 교정장치가 아닐까 생각해봅니다~

투명한 교정장치의 한 종류로 도자기 재료로 만들어져 있습니다.

금속장치에 거부감이 있는 환자분들이 많이 선택하는 장치입니다.

단점은 디본딩(교정이 끝나고 장치를 떼어낼 때)시 잘 떨어지지 않고,

깨지기 쉽다는 점입니다.

시린파랑

교정은 부의 상징입니다. 돈 없으면 교정 하고 싶어도 못하니 부의 상징 인거죠!

그러니 교정기 노출을 절대 두려워 마시구요,

어차피 해야되는거면 즐겁게 교정하시구요, 절대 위축되지 마십시요!!!

내가 자신감 있는 모습을 보여야 보는 사람도 교정에 대해서 긍정적으로 생각하게 됩니다.

손으로 입을 가리거나 입술에 힘을주고 교정기 안보이게 말하는 습관은,

보는 사람을 더 불편하게 만들 수 있으니 교정기를 너무 의식하거나 감추려 하지마세요.

병원에 대한 믿음이 커야지만 교정후에 만족도도 높아지는 법입니다.

내가 좋아서 선택한병원 이라면 최대한 믿고 따라갈 수 있도록  노력하구요~

힘들땐 이곳에 와서 털어 놓으시구요.

그것이 즐교하는 지름길 입니다. 아셨죵???  ^^*

나의 행운이 항상 당신과 함께하길...

댓글이 없습니다.