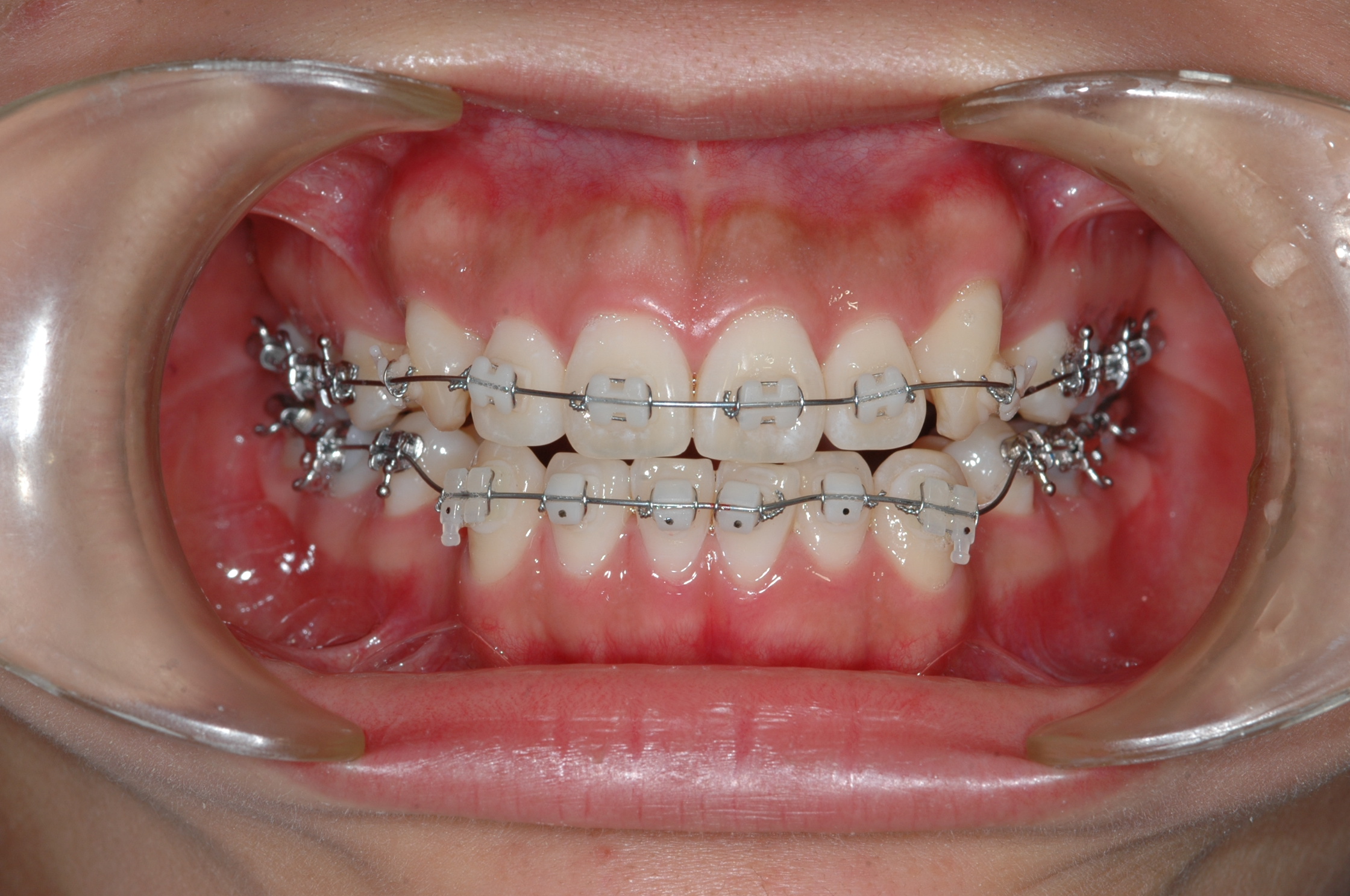
레진장치
15년 전

 resin bracket2.jpg

011.JPG

 

플라스틱장치인 레진장치입니다.

세라믹에 비해 치료비가 저렴하고

과거에는 변색되는 문제가 있었으나

요즘 것은 개선이 되어 거의 변색되지 않는다고 합니다~~

시린파랑

교정은 부의 상징입니다. 돈 없으면 교정 하고 싶어도 못하니 부의 상징 인거죠!

그러니 교정기 노출을 절대 두려워 마시구요,

어차피 해야되는거면 즐겁게 교정하시구요, 절대 위축되지 마십시요!!!

내가 자신감 있는 모습을 보여야 보는 사람도 교정에 대해서 긍정적으로 생각하게 됩니다.

손으로 입을 가리거나 입술에 힘을주고 교정기 안보이게 말하는 습관은,

보는 사람을 더 불편하게 만들 수 있으니 교정기를 너무 의식하거나 감추려 하지마세요.

병원에 대한 믿음이 커야지만 교정후에 만족도도 높아지는 법입니다.

내가 좋아서 선택한병원 이라면 최대한 믿고 따라갈 수 있도록  노력하구요~

힘들땐 이곳에 와서 털어 놓으시구요.

그것이 즐교하는 지름길 입니다. 아셨죵???  ^^*

나의 행운이 항상 당신과 함께하길...

  • 복부비만
    13년 전

    제껀 과거꺼인가 봐요. 바로 변색되어서 교정내내 누렁니.. ㅠ