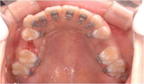
설측교정장치
치아 안쪽에 장치를 붙여 겉으로는 전혀 보이지 않는 장치입니다.
겉으로 보이지 않아 심미적이지만 외부노출 장치와 달리 초기에 약간의 이물감과
발음장애가 일시적으로 있을 수 있습니다.
대부분의 설측교정 환자들은 1,2주 이내에 적응이 되어 점차 이물감이 없어지며, 설치음(ㄷ,ㅌ,ㅅ)이 장애를 받지만 수주 내에 적응이 되며 쉽게 적응이 되지 않는 경우라 해도 본인의 연습을 통해 해결될 수 있습니다.

