치아교정 주의사항과 생길 수 있는 문제점
치아교정시 생길 수 있는 문제점들이 있습니다.
어떠한 것들이 있는지 알아보고 예방을 위해선 어떤 노력이 필요한지 함께 알아보겠습니다. ^^
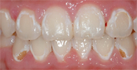
▶ 치아표면에 탈회현상이 생길 수 있습니다.
탈회란 치아표면이 하얀색으로 부식되어 칼슘이 빠져나가는 것을 말합니다.
양치질을 제대로 하지 않고 게을리하면 치아교정중인 사람 누구에게나 생길 수 있지만,
꼼꼼히 양치질을 잘 해준다면 탈회 걱정은 하지않으셔도 됩니다.
소홀한 관리로 탈회현상이 시작되면 다시 회복할 수 없기 때문에 미리 예방하는 것이 중요합니다.
▶ 잇몸에 염증이 생길 수 있습니다.
교정장치를 붙이면 식후에 치아와 장치사이에 음식물이 많이 끼게 되고
양치질을 소홀히 하게 되면 남아있는 음식물로 인해서 잇몸에 염증이 생길 수 있습니다.
염증이 생기면 잇몸이 붓고 피가 나며, 구취의 원인이 되기도 합니다.
또한 염증이 심해지면 잇몸이 내려가 치아의 뿌리가 노출될 수 있습니다.
대개 치아교정 치료 중 발생한 잇몸의 염증은 양치질을 꼼꼼히 제대로 하면
별도의 치료없이 나아질 수 있지만 건강한 잇몸과 치아를 유지하기 위해서
식후 항상 깨끗하게 양치질을 하는 습관을 들이는 것이 중요합니다.
▶ 잇몸이 퇴축될 수 있습니다.
사람은 나이가 들면서 잇몸이 밑으로 내려가 치근이 점점 노출되는데
너무 오랜기간동안 치아교정 치료를 받게 되면 빨리 진행될 수 있습니다.
잇몸의 퇴축은 잘못된 양치질이 원인이 되는 경우가 많으므로 올바른 양치질 방법을 잘 익혀야 하며,
장치 탈락 등으로 인해 치아교정기간이 늘어나지 않도록 환자분의 적극적인 협조가 필요합니다.
▶ 치근이 흡수될 수 있습니다.
치아교정시 치아뿌리가 뼛속을 이동하는 동안 흡수가 되어 치아뿌리가 짧아질 수 있습니다.
대부분의 경우 교정치료에 의한 흡수의 정도가 경미하여 치아의 수명이나
정상적인 기능을 발휘하는 데 거의 영향을 미치지 않지만,
갑상선 질환과 같은 전신적인 질환이나 원인 불명으로 치근이 심하게 흡수되는 경우도 있으며
때에 따라 치아교정 치료를 중단하고 신경치료를 받아야하는 경우가 생길 수 있다는 점을
미리 인지하셔야 합니다.
▶ 턱관절의 장애가 일어날 수 있습니다.
치아교정 치료 중 턱관절이나 주위 근육의 동통, 입을 벌릴 때 딱하는 소리가 나는 등
관절 장애의 증상이 나타날 수도 있습니다.
턱관절 장애의 증상이 나타나면 잘못된 치아교정 치료에 의한 것으로 의심하기 쉬우나
턱관절 장애는 치아교정 치료와 관련이 없습니다.
턱관절이 안 좋으셨던 분들이라면 턱관절에 무리가 가는 운동이나 음식을 삼가셔야 하고,
교합에 문제가 있었던 경우라면 치아교정 치료로 호전될 수 있습니다.
일단, 턱관절 장애의 증상이 나타나면 이에 대한 치료를 받아야 하며
그 증상이 완화될 때까지 교정치료를 잠시 중단해야 합니다.
▶ 치료 후 치아가 제자리로 돌아가 재발할 수 있습니다.
치아는 원래의 자리로 돌아가려는 성질이 있습니다.
따라서 교정치료가 끝나면 재발을 방지하기 위해 일정기간 유지장치를 합니다.
유지장치기간이 끝난 후에 교정치료의 결과가 완벽하게 유지될 수는 없습니다.
그 이유는 치아의 위치가 구강내 환경조건에 적응하기 위해서
지속적으로 조금씩 변화하기 때문입니다.
아주 드문일이지만 치아교정 치료 후 성장에 의해 턱이 돌아가거나
앞으로 자라나서 턱수술을 해야하는 경우도 있습니다.
▶ 정상적으로 구강내에 나올 수 없는 치아도 있습니다.
매복치를 이동시킬 때 90~95%는 치아를 제 위치에 이동시킬 수 있으나
가끔 치아가 뼈에 유착되어 이동이 되지 않는 경우도 있습니다.
또한 치아교정 치료의 초기에는 문제가 없었으나
치아 이동 중 치아가 뼈에 붙어버리는 경우도 있습니다.
이런 경우에는 불가피하게 발치를 하고 치료가 끝난 후 임플란트를 해야합니다.
▶ 치아의 신경이 죽을 수도 있습니다.
교정치료와는 상관없이 예전에 알게 모르게 손상받은 치아는
교정력에 의한 치아 이동 중 갑자기 증상이 커지면서 신경이 죽게 되는 경우가 있습니다.
치아교정 중 실활치가 되면 치아의 색이 변하며, 신경치료를 해야 합니다.
신경치료를 한 치아는 자연치아와 동일한 치아이동이 이루어지며,
치아교정 치료가 끝난 후 변색된 치아는 미백을 통해 원래의 색으로 돌아올 수 있습니다.
▶ 그 외에 생길 수 있는 일들입니다.
1. 떨어진 장치를 삼키는 일이 생길 수 있습니다. 대부분 배설물로 나옵니다.
2. 치아에 붙인 장치를 떼어낼 때 그 힘에 의해서 치아의 파편이 얇게 떨어질 수 있습니다.
3. 교정장치에 의해서 입안 연한 살들의 안쪽에 상처가 날 수 있는데
불편한 장치위에 왁스를 붙이면 도움이 됩니다.
4. 염증이 많이 생기면 약을 드시고, 내원하시기 바랍니다.
5. 교정력에 의해 치아가 아픈 경우 일반 진통제는 치아의 이동을 더디게 하므로
Acetaminophen 계통(예: 타이레놀ER)의 진통제를 드시기 바랍니다.
6. 심하게 틀어져 있거나 불규칙한 형태의 치아를 가지런하게 배열하면
치아와 치아사이에 삼각형 모양의 공간이 생겨 블랙트라이앵글이 생길 수 있습니다.

(치아와 치아사이에 있는 삼각형 모양의 공간을 블랙트라이앵글이라 합니다.)
차후에 치아사이를 살짝 갈아내면 어느정도 개선되나 완전히 없앨 수 없는 경우도 있습니다.


답글