투명 교정의 효과
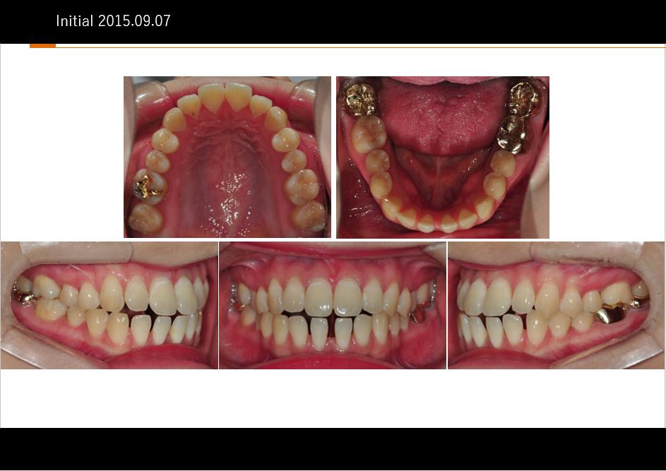
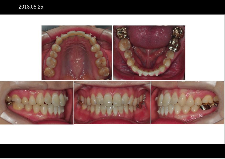
안녕하세요? 이번 글에서는 요즘 핫하다는 투명교정에 대해서 얘기해볼께요. 투명교정 치료가 좋은 치료임에는 분명하지만, 미국 뿐만 아니라 한국을 포함한 거대 회사에서 나오고 있어서 너무 상업화 되어 모든 교정이 가능한 것 처럼 알려진 바가 있습니다. 물론 의사 선생님들이 알아서 잘 선택해주시겠지만, 투명치과 사태에서도 보셨 듯이 잘 못 사용될 수도 있기에 환자들 자신들도 잘 알고 있어야 할 것 같아요. 아래 사진을 보시면, 윗니는 약간 틀어지고, 아래는 벌어져 있습니다. 이런 경우가 전형적인 투명교정으로 치료할 수 있는 경우랍니다. 보통 투명장치를 만들기 위해서 치아의 석고 모형을 만들어서 일일이 치아 하나하나를 잘라서 투명교정을 만드는 방법도 있지만, 최근에는 최첨단 3D기술을 이용해서 만들어낸답니다. 투명교정치료가 치료 속도가 빠르다고 하는 경우도 많지만, 치아를 정밀하게 맞추려면 아래 환자분 처럼 시간이 꽤 걸리는 경우도 있답니다.





답글